Разделы
Материалы

Ученые создали метод объективного измерения боли

Исследователи из Стэнфордского университета (США) разработали метод, который позволит врачам измерять уровень боли

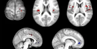
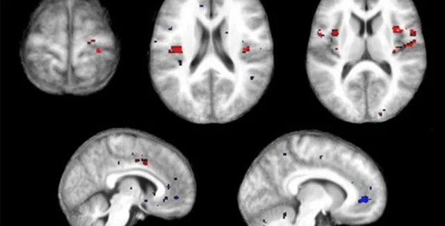
Получить объективные данные о болевых ощущениях ученым позволила комбинация методов Функциональной магнотно-резонансной томографии и особого "самообучающегося" программного алгоритма, сообщает compulenta.ru.

Когда человек что-то видит, слышит и вообще чувствует, у него активируются определенные участки мозга, которые можно обнаружить посредством ФМРТ. Более того, по активности мозга реально предсказать характер ощущений, не зная ничего о том, что именно их вызвало. Информацию о схеме активности можно внести в программный алгоритм, который и будет распознавать ощущения по картинке, сообщаемой ФМРТ.

За последние годы предпринимались попытки различить таким "слепым" способом, например, зрительную активность и активность мозга при выполнении человеком какого-то задания. Но к болевым ощущениям этот метод до сих пор не применялся.

В эксперименте стэнфордских ученых участвовали восемь добровольцев. Каждому предстояло испытать легкий термический ожог: участок кожи нагревался до тех пор, пока тепловые ощущения не переходили в болевые. Компьютер регистрировал изменения в активности мозга и вычленял общие черты у всех участников эксперимента. После выявления болевого алгоритма исследователи проверили его на 16-ти новых добровольцах, и оказалось, что метод позволяет отличить боль от неболи более чем в 80% случаев.

Как подчеркнули авторы работы, все это пока лишь предварительные данные: с помощью такого метода можно объективно оценить термическую боль от ожога, но не известно, сработает ли предложенный алгоритм при других видах боли.