Разделы
Материалы

Парадокс курильщика. Научная статья о пользе курения во время пандемии была отозвана

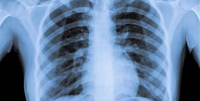
Фото: Medscape

Авторы статьи писали, что у курильщиков меньше шансов заболеть коронавирусом, чем у некурящих.

Анализ статьи выявил несколько предубеждений, "которые могут создать ложное впечатление, будто курение защищает от Covid-19", сообщает The Guardian.

Научная статья, в которой утверждается, что у нынешних курильщиков на 23% меньше шансов получить диагноз Covid-19 по сравнению с некурящими, была отозвана медицинским журналом после того, как было обнаружено, что некоторые из авторов статьи имеют финансовые связи с табачной промышленностью.

Всемирная организация здравоохранения предупредила, что, поскольку курение ухудшает функцию легких, существует повышенный риск серьезных симптомов, если курильщики заражаются респираторными инфекциями, включая коронавирусы. Covid-19 — инфекционное заболевание, поражающее в первую очередь легкие.

Но в статье, опубликованной в июле прошлого года в European Respiratory Journal, было обнаружено, что "курение не было связано с неблагоприятным исходом" у пациентов, госпитализированных с Covid. Более того, утверждалось, что курильщики имеют значительно более низкий риск заражения вирусом.

Последнее издание European Respiratory Journal включало уведомление об отзыве статьи, в котором говорилось: "Редакции стало известно, что на момент подачи рукописи двое из авторов не сообщили о потенциальных конфликтах интересов".

"Один один из авторов (Хосе М. Майер) и тогда и сейчас играет важную роль в предоставлении табачной промышленности консультаций по снижению вреда от табака. А другой (Константинос Пулас) в то время был главным исследователем в греческой неправительственной организации NOSMOKE, научном и инновационном центре, который получил финансирование от Фонда "За мир, свободный от табачного дыма" (организация, финансируемая табачной промышленностью)".

NOSMOKE, базирующаяся в Греции, разрабатывает продукты для вейпинга и продвигает исследования табачной промышленности в области электронных сигарет. В статье Майер, Пулас и их соавторы написали "нет" в графе "конфликт интересов".

В уведомлении об отзыве говорилось, что авторы не согласны с решением. В нем говорится, что, хотя не раскрытие потенциального конфликта интересов обычно не является достаточным основанием для отказа, редакторы считают, что решение было оправданным, исходя из характера нераскрытых отношений и "в контексте представленной деликатной темы".

Старший автор статьи Константинос Фарсалинос заявил, что конфликт интересов "не имеет отношения к основным целям и задачам исследования".

"Кроме того, я предложил публично показать полный набор данных и статистику, чтобы все результаты можно было проверить независимо", — сказал он. "Редакция отказалась. Я попросил, чтобы мое предложение было упомянуто в письме об опровержении, но редакция также отклонила его. Я не согласен с опровержением и считаю его несправедливым и необоснованным".

Директор Quit Victoria (некомерческая организация, которая помогает австралийцам бросить курить), доктор Сара Уайт, сказала, что отозвать статью было правильным шагом.

"Мы действительно полагаемся на исследования, чтобы иметь возможность беспристрастно взглянуть на данные, но также и на их интерпретацию", — сказала она. "Читателю необходимо знать, что у авторов есть потенциальный или фактический конфликт интересов, или что они действительно были связаны с табачной отраслью".

Она добавила, что нет убедительных доказательств того, что курильщики с меньшей вероятностью заразятся Covid или пострадают от него.

Анализ, проведенный для журнала BMJ Evidence-Based Medicine, "выявил несколько предубеждений и пробелов в знаниях, которые могут создать ложное впечатление, что курение защищает от Covid-19".

Авторы этой статьи заявили, что было проведено несколько исследований, в которых сообщалось о так называемом "парадоксе курильщика" с Covid-19, предполагающем, что курильщики каким-то образом могут быть защищены от инфекции и серьезных осложнений.

"Данные, подтверждающие "парадокс курильщика", ограничены и сомнительны", — говорится в статье.

"В контексте курения и Covid-19 плохой набор данных может привести к ошибочным выводам. Если пациенты с отсутствующими данными о курении не исключены из общего исследования, курильщики могут быть ошибочно недопредставлены. Кроме того, трудно получить точную историю болезни от интубированных пациентов или пациентов с дыхательной недостаточностью.

Если данные об этих пациентах отсутствуют и эти пациенты не исключены из знаменателя, это может создать ложное впечатление, что у курильщиков меньше вероятность развития тяжелого заболевания. Во-вторых, следует отметить, что в большинстве опубликованных исследований не сообщается о продолжительности (годы) или частоте (количество сигарет) курения, поэтому их нельзя учесть".