Разделы
Материалы

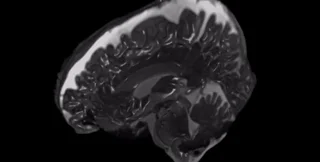
Пульсирует и движется. Ученые показали изнутри, как работает человеческий мозг (видео)

Фото: Courtesy of Stevens Institute of Technology

На видео видно, как мозг дрожит внутри черепа, когда кровь и другие жидкости протекают в нем.

В новых исследованиях ученые использовали метод сканирования мозга, который часто используется для захвата статических 2D-изображений органов, чтобы вместо этого создавать 3D-видео мозга, движущегося в реальном времени. Можно увидеть пульсирующую ткань мозга в ответ на прилив крови к кровеносным сосудам и спинномозговую жидкость, которая несет питательные вещества и смягчает мозг, протекая внутри и вокруг полых пространств в органе, сообщает Livescience.

Новые видео "увеличивают" эти действия в мозгу, подчеркивая движение, чтобы его можно было легко проанализировать. По этой причине новый метод получил название "3D увеличенная магнитно-резонансная томография" или 3D уМРТ.

"На самом деле, это очень небольшое движение, обычно от 0,002 дюйма до 0,015 дюйма (от 50 до 400 микрометров), с точки зрения того, насколько сильно деформируется ткань", — говорит Мехмет Курт, доцент кафедры машиностроения в Технологическом институте Стивенса в Нью-Джерси, профессор Медицинской школы Икана на горе Синай в Нью-Йорке.

Создание движений примерно в 25 раз больше позволило исследователям оценить это действие более подробно, с точностью отслеживая его направление и амплитуду.

Когда-нибудь новая техника сканирования может оказаться полезной при диагностике и лечении заболеваний, при которых жидкости не могут проходить через мозг. "Одним из таких заболеваний является гидроцефалия, при которой избыток жидкости накапливается в полостях мозга",- говорит Саманта Холдсворт, старший преподаватель Оклендского университета в Новой Зеландии.

"Нам предстоит проделать большую работу, чтобы действительно доказать ее клиническое применение, но такова природа всех новых технологий", — говорит она.

Чтобы создать новую технику сканирования, команда начала с базовой МРТ, которая использует сильные магниты для применения магнитного поля к телу. В результате все ядра водорода в молекулах воды в теле выстраиваются в ряд с этим магнитным полем.

Затем сканер выпускает радиочастотный ток, который стимулирует ядра водорода, заставляя их нарушить порядок. Когда этот радиочастотный ток отключается, все ядра возвращаются в исходное положение, но делают это с разной скоростью в зависимости от того, какая ткань их окружает. Каждое ядро ​​излучает радиосигнал, когда оно возвращается в ряд, и машина улавливает этот сигнал и использует его для создания изображения.

Применяя к телу несколько магнитных полей, МРТ также можно использовать для создания трехмерных изображений, которые можно рассматривать под разными углами.

Еще в 2016 году Холдсворт и ее коллеги использовали эту базовую технологию МРТ для создания уМРТ. По сути, метод включает в себя соединение серии изображений МРТ, снятых в последовательные моменты времени, для создания короткого фильма, а также усиление неуловимых движений, зафиксированных в каждом кадре.

"Cначала уМРТ можно было использовать только для отслеживания действий в одной плоскости, например, если смотреть сбоку или сверху на мозг, но не сразу под несколькими углами", — говорит Холдсворт. Теперь же техника позволяет увидеть все с трех разных позиций одновременно.

"Двухмерная версия была неполной с биомеханической точки зрения, это было неполное восприятие того, что происходило", — говорит Курт. "Это может иметь решающее значение с диагностической точки зрения", — говорит он.

По словам Холдсворт, для отслеживания движения в головном мозге также можно использовать несколько других методов МРТ, а именно, кодирование смещения со стимулированным эхом и фазово-контрастную МРТ. "Однако преимущество уМРТ в том, что вы можете видеть движение по отношению к основной анатомии, а это действительно совершенная анатомия", — говорит она. В то время как другие методы позволяют получить несколько более расплывчатую картину мозга с худшим временным разрешением, 3D уМРТ может создавать кадры мозга в реальном времени с впечатляющим пространственным разрешением 1,2 кубических миллиметра.

Теперь исследователи используют свою технику для изучения синдрома Киари, состояния, при котором часть мозга проталкивается вниз через отверстие в основании черепа, через которое проходит спинной мозг. Курт также изучает гидроцефалию у новорожденных, сканируя их мозг до и после корректирующей операции. Кроме того, он использует модифицированную версию метода сканирования, называемую aFlow, для изучения аневризм, при которых стенка артерии ослабевает и выпячивается. По словам Курта, мониторинг явных изменений кровотока может помочь врачам предсказать, когда может произойти разрыв аневризмы.

В Новой Зеландии Холдсворт сканирует мозг пациентов с сотрясением мозга, чтобы увидеть, проявляются ли общие закономерности в том, как жидкость течет через их мозг после травм. По словам Холдсворт, ее группа также планирует изучить, можно ли использовать уМРТ для косвенного измерения давления в мозге, поскольку в настоящее время для прямого измерения требуется просверлить небольшое отверстие в черепе.

Давление в головном мозге может увеличиваться по многим причинам, включая травмы, опухоли, инфекции и аневризмы. У людей с заболеванием, называемым идиопатической внутричерепной гипертензией, точная причина повышения давления неизвестна, но оно может вызывать симптомы, похожие на симптомы опухоли головного мозга, говорят ученые.