Разделы
Материалы

98% всей радиации человек получает в больнице

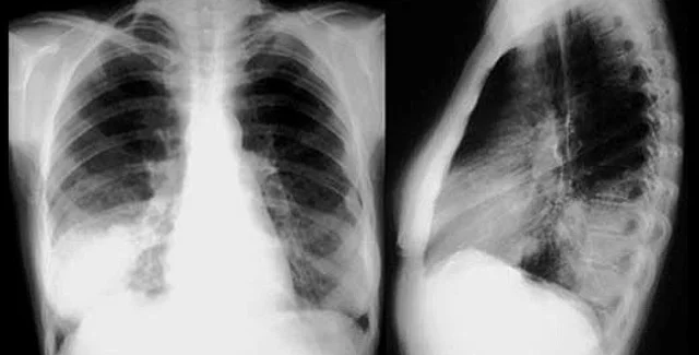
Главным источником воздействия искусственной радиации на человека являются медицинские исследования и процедуры. К такому выводу пришли эксперты Научного комитета ООН по действию атомной радиации

Согласно данным специалистов, на медицину приходится 98% радиационного облучения из искусственных источников.

Как сообщает радио ООН, с 1997 по 2007 год в мире каждый год проводилось в среднем 3,5 млрд. рентгенологических исследований. Это на 40% больше, чем в предыдущем десятилетии.

Несмотря на то, что диагностика и лечение с использованием радиации - шаг вперед в развитии медицины, МАГАТЭ и ВОЗ обеспокоены, что зачастую такие процедуры назначаются без достаточных оснований, а используемая доза облучения превышает допустимую. Причина, как правило - недостаточная квалификация медперсонала.