Разделы
Материалы

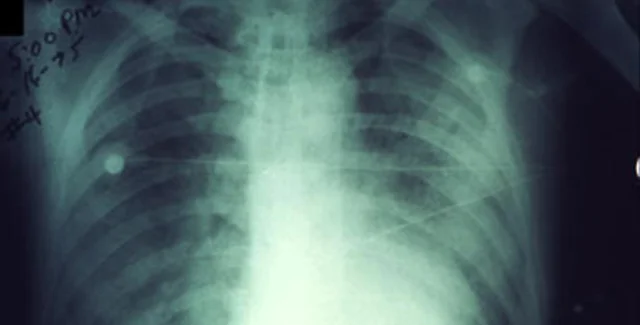
В Тибете обнаружен очаг легочной чумы

В Тибете зарегистрированы 5 случаев заболевания легочной чумой. Один из заболевших скончался. Об этом сообщило сегодня Министерство здравоохранения КНР

Все пять случаев заболевания были зарегистрированы в регионе Нансянь (округ Линьчжи).

Первый случай был зарегистрирован 23 сентября. Пациент умер от тяжелых инфекций легких. Остальные четыре заболевших легочной чумой, которые имели тесные контакты с первым пациентом, взяты на карантин. Один из них находится в критическом состоянии, состояние других трех пациентов оценивается как стабильное.

Как сообщает агентство "Синьхуа", в Нансянь для сдерживания дальнейшего распространения эпидемии уже направлены специалисты по профилактике болезней и контролю за очагами их возникновения.

Все лица, которые посетили Нансянь после 18 сентября, должны незамедлительно обратиться к врачам при появлении таких симптомов, как лихорадка, кашель и др.

Легочная чума – одна из трех основных форм проявления чумы. Вызывается бактериями Yersinia pestis и поражает органы дыхания. Более опасна, чем бубонная чума, но встречается реже. При отсутствии лечения смертность чрезвычайно высокая, вплоть до 100%.