Разделы
Материалы

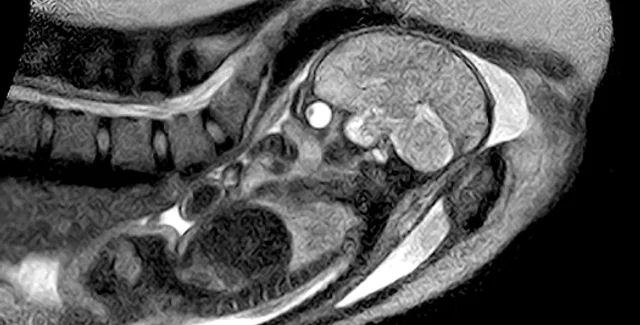
Немцы сняли роды на МРТ

Немецкие медики впервые сняли процесс родов с помощью магнитно-резонансной томографии

Неординарная процедура, проведенная в берлинской больнице Шарите, завершилась успешно. Младенец и мать здоровы и чувствуют себя хорошо.

Как сообщает compulenta.ru, достижение германских медиков позволит изучить процесс рождения ребенка во всех подробностях, а значит - поможет лучше справляться с возникающими в этот момент осложнениями.

По словам врача-гинеколога Эрнста Байндера, с помощью полученных изображений можно разглядеть процесс деторождения в деталях - раньше некоторые его особенности приходилось определять буквально на ощупь. В частности, то, насколько необходимо кесарево сечение, если малыш не может выйти из родовых путей. (Сегодня каждая 15-я мама из сотни рожает с помощью кесарева сечения.)

Подготовка к эксперименту проходила в течение двух лет. Исследователи планируют провести еще пять родов под контролем МРТ.

Как известно, метод магнитно-резонансной томографии основан на воздействии электромагнитного излучения определенной частоты на ядра атомов водорода, которые содержатся в организме человека. Изучение отклика ядер позволяет получить "послойное" изображение структуры костей и мягких тканей.

Аппарат для проведения МРТ представляет собой цилиндрическую конструкцию с "туннелем" в центре, куда и помещается пациент. Специально для данного эксперимента была построена "открытая" модель устройства. Кроме того, поскольку МРТ-аппарат издает сильный шум, роженица пользовалась защитными наушниками, а в момент появления на свет новорожденного машину отключили, чтобы не повредить его слух.