Интернет-зависимость меняет мозг подобно наркотикам, - ученые

Изменения мозга при интернет-зависимости аналогичны тем, которые наблюдаются при употреблении алкоголя и кокаина

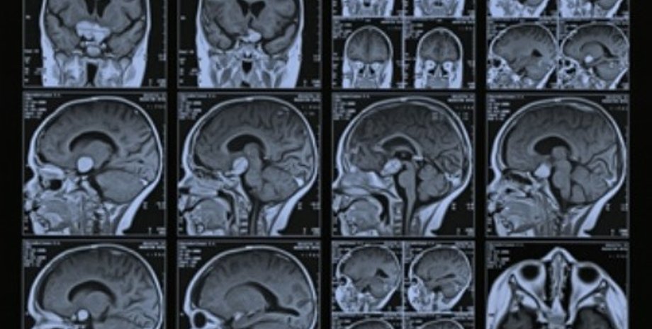
Группа китайских ученых под руководством Хао Лэя из центра магнитно-резонансных исследований в городе Ухань сканировали мозг 17 взрослых людей, у которых была выявлена интернет-зависимость, и сравнили результаты с данными 16 здоровых людей, передает РИА-Новости со ссылкой на Independent.

Результаты исследования, которые могут пролить свет на поведенческие проблемы и содействовать в развитии новых способов избавления от зависимости, выявили поражение белого вещества головного мозга в областях, отвечающих за эмоциональную обработку данных, принятие решений и когнитивный контроль. Аналогичные изменения белого вещества головного мозга были зафиксированы при других формах зависимости, в частности, при употреблении алкоголя и кокаина.

Відео дня

Чтобы выявить нарушения в мозге у взрослых людей, которые ежедневно проводят много часов в интернете, исследователи использовали магнитно-резонансную томографию. Кроме того, были учтены негативные последствия от многочасового времяпровождения в интернете для личной и общественной жизни.

По оценкам ученых, от 5% до 10% пользователей глобальной сети могут считаться интернет-зависимыми, то есть не способными контролировать свою тягу. Большинство из них играют в компьютерные и онлайн-игры, которые настолько их поглощают, что игроки надолго забывают о голоде и жажде, при этом страдают их взаимоотношения в семье, работа и учеба.

Впрочем, авторы исследования признают, что не могут сказать, являются ли такие изменения мозга причиной или следствием интернет-зависимости. Вполне вероятно, что люди, у которых уже присутствуют подобные изменения мозга, легче приобретают подобную зависимость.