Британка 28 лет проходила с контактной линзой, о которой она не знала
Врачи обнаружили инородное тело во время операции
Врачи во время операции обнаружили у 42-летней британки контактную линзу, с которой она проходила 28 лет, даже не подозревая об этом. О необычной находке говорится в статье журнала BMJ Case Reports, пишет Naked Science.
Женщина обратилась в клинику после того, как опухоль, появившаяся на веке за шесть месяцев до этого, начала закрывать глаз. Врачи оперировали кисту и нашли внутри контактную линзу.
- ЧИТАЙТЕ ТАКЖЕ: С глаз долой. 12 признаков того, что органы зрения пытаются предупредить вас о проблемах со здоровьем
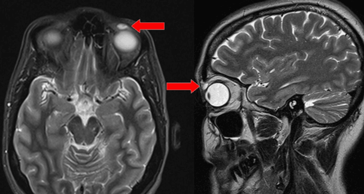
Сначала специалисты провели сканирование с помощью МРТ и обнаружили образование величиной в шесть миллиметров. Веко не показывало никаких признаков травмы, однако, когда опухоль надрезали, внутри обнаружили жесткую контактную линзу. При ее удалении возникли осложнения, потому что структура объекта стала хрупкой и врачи боялись оставить внутри осколки.
Пациентка не знала, как линза попала в ткани века, ведь она уже давно отказалась от них. Но мать британки вспомнила, что в возрасте 14 лет во время игры в бадминтон ее дочери угодил волан в левый глаз. Тогда линза бесследно исчезла, ее так и не нашли: вероятно, она сместилась и застряла в веке на 28 лет. Родственники заметили в то время небольшой отек вокруг глаза, но он быстро прошел, поэтому они не придали этому значение.
Хотя травма никак не повлияла на зрение женщины, офтальмологи отметили, что этот случай показывает, насколько важно проводить полноценную диагностику после повреждений глаз.
Фото: BMJ Case Reports
Напомним, ученые из Университета Маркетт в Милуоки выяснили, что именно большой палец ноги эволюционировал позже всех остальных частей стопы человека.