Блуждающая селезенка. У пациентки из США всего за день сместился один из органов

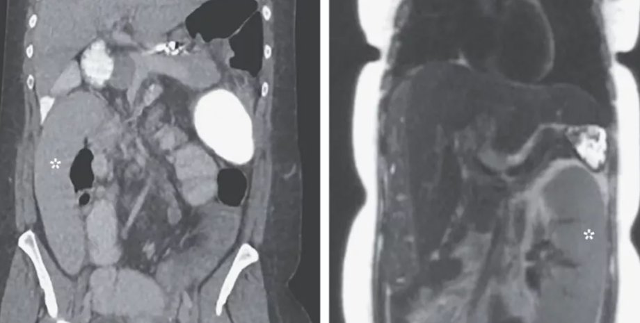
Фото: The New England Journal of Medicine

Женщина была доставлена в больницу с острой болью в животе и рвотой.

В США в отделение неотложной помощи обратилась женщина с жалобами на острую боль в животе. Как оказалось, проблема заключалась в селезенке пациентки, которая сместилась примерно на 30 сантиметров. Об этом сообщает LiveScience.

Редкое заболевание, известное как "блуждающая селезенка", появляется, когда связки, который обычно удерживают селезенку на месте, начинают растягиваться. В организме селезенка расположена над желудком в левом верхнем квадранте живота, она отвечает за фильтрацию крови и производство иммунных клеток.

Когда 36-летняя женщина поступила в больницу Michigan Medicine в городе Энн-Арбор, врачи обнаружили ее селезенку в правом нижнем квадранте живота.

Відео дня

"Селезенка проделала путь примерно в 30 см", – говорит доктор Александр Вестер, врач-терапевт в Michigan Medicine.

До того, как пациентка попала в больницу с "блуждающей селезенкой", она прошла обследование на рак печени, во время которого были сделаны медицинские снимки живот и селезенка была на своем месте. Через день у женщины появились боли в животе и рвота.

В отделении неотложной помощи врачи сделали новое сканирование, выяснив, что селезенка переместилась на противоположную сторону тела пациентки.

Медики предполагают, что смещение селезенки вызвала печень, которая соединяется с органом через систему вен. У женщины было диагностировано заболевание печение, называемое первичным склерозирующим холангитом. Оно характеризуется воспалением желчных протоков, по которым пищеварительный жидкости переносятся из печени в тонкий кишечник. Воспаление вызвало серьезное рубцевание печени или иными словами цирроз, который затруднил кровоток через орган.

"Подобно засору в трубе, это заставляет кровь подниматься, и одно из мест, где она может оказаться – это селезенка. Со временем селезенка становится больше, пытаясь вместить в себя всю лишнюю кровь", – говорит Вестер.

По мере того, как селезенка становится все больше, окружающие ее связки могут растягиваться, позволяя органу путешествовать по животу.

По данным Национальной организации по редким заболеваниям (NORD), блуждающая селезенка также может быть вызвана врожденными проблемами, когда дети рождаются со слабыми или отсутствующими связками, стабилизирующими селезенку. Болезнь также может возникнуть в зрелом возрасте из-за физических травм и других причин, таких как заболевание соединительных тканей или даже беременность.