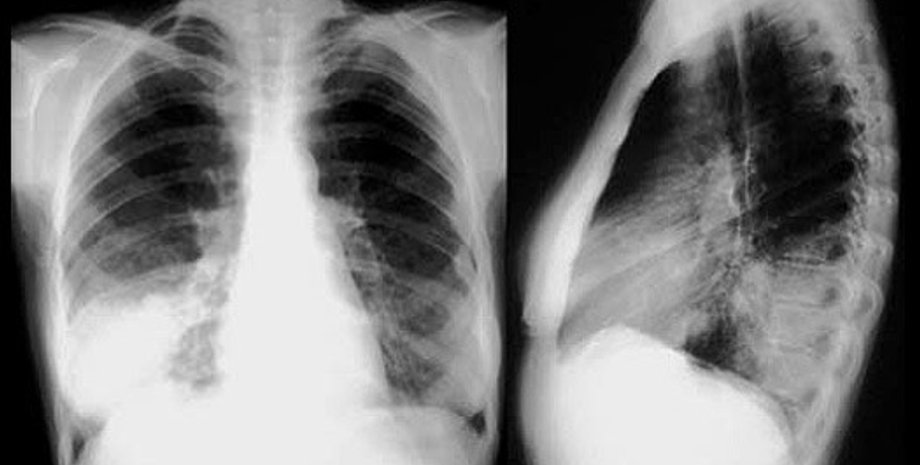
На Прикарпатье пневмония унесла еще 5 жизней

Среди пяти умерших - 19-летняя женщина, родившая вчера ребенка

Об этом сегодня на брифинге сообщила заместитель начальника Главного управления здравоохранения Ивано-Франковской облгосадминистрации Зоя Цихонь.

По ее словам, за последние сутки в регионе умерли 5 человек, среди которых 19-летняя женщина, родившая вчера ребенка. Ребенок жив, сообщает УНИАН.

В то же время, Цихонь отметила снижение темпов распространения заболеваемости. "В сравнении с вчерашним днем заболело почти на 1,5 тыс. меньше людей, - сказала она. – В четыре раза уменьшилась госпитализация больных".

Также Цихонь сообщила, что есть случаи, когда заболевшие умерли, лечась от пневмонии. Но их смерть наступила из-за сопутствующих заболеваний, которые и осложнили их состояние.

Відео дня