Украинцы умирают не от пневмонии, а от дистресс-синдрома, - черновицкие судмедэксперты

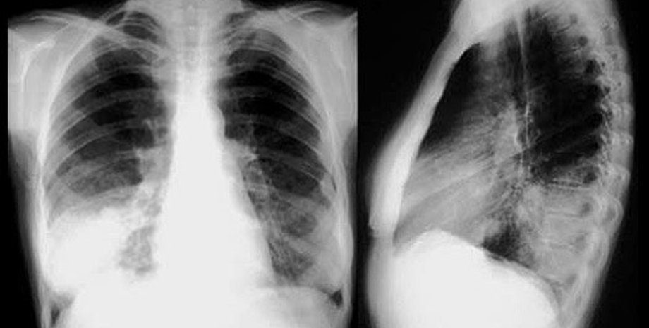
Все жертвы вируса на Буковине (22 человека в возрасте от 20 до 40 лет) умерли не от двусторонней пневмонии, как это считалось ранее, а в результате вирусного дистресс-синдрома, то есть тотального поражения легких

Об этом заявил начальник бюро Черновицкой областной судмедэкспертизы профессор Виктор Бачинский.

По его словам, сначала наступает сердечно-легочная недостаточность, а следовательно развивается кардиогенный шок, который вызывает остановку сердца и смерть.

"Во время двусторонней пневмонии отслеживается определенная морфологическая картина. Относительно данных смертей, то здесь такой морфологической картины нет. Вирус, который вызывает смерть, очень агрессивен, он даже не поражает трахею, а сразу попадает в легкие и вызывает сильный их отек и сплошное кровоизлияние. Причиняют такое состояние смешанные типы парагриппа и гриппа А/Н1N1. Это очень токсичный штамм, который до сих пор не поддавался выработанной Минздравом методике лечения", - сказал Бачинский.

Відео дня

По его словам, нужно срочно менять стандарты лечения, ведь те, которые применялись до сих пор, результата не дали - в реанимации не удалось спасти всех людей, пораженных этим вирусом. Не оправдались в этой ситуации и аппараты искусственной вентиляции легких - смертность людей наступала в 100%, сообщает zik.

В связи с этим группа профессоров Черновицкого медуниверситета обратилась к Министерству здравоохранения и СНБО с требованием пересмотреть стандарты лечения больных на Буковине. Ученые-морфологи отправили в Киев протоколы, результаты исследований и взятые у тяжелобольных и умерших от вируса лиц анализы.

Бачинский, который входит в группу инициаторов обращения, отметил, что вирус является чрезвычайно токсичным, он способен проникать не только через органы дыхания, но и через глазную оболочку. Поэтому черновицкие ученые рекомендуют ни в коем случае не отказываться от масок и на период эпидемии даже носить защитные очки. Важным условием для недопущения ухудшения ситуации является также соблюдение карантинного режима.