Врачи обнаружили 526 зубов во рту у индийского ребенка

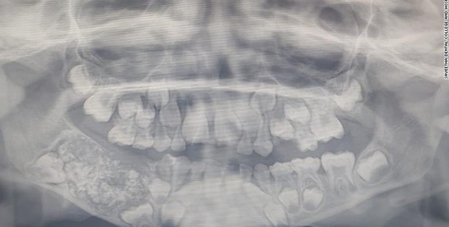
Рентген челюсти 7-летнего ребенка. Фото: Saveetha Dental College and Hospital
Рентген челюсти 7-летнего ребенка. Фото: Saveetha Dental College and Hospital

Команде хирургов понадобилось около 5 часов, чтобы их удалить

В Индии у 7-летнего ребенка во рту врачи обнаружили 526 зубов, он обратился за медпомощью с жалобами на боль в челюсти. Об этом сообщает CNN.

Мальчик был госпитализирован в южном городе Ченнаи из-за отека и болей в нижней челюсти. На рентгене врачи увидели в нижней челюсти мальчика мешок, заполненный недоразвитыми зубами.

Команде хирургов понадобилось около 5 часов, чтобы достать из челюсти ребенка все "лишние" зубы.

Важно
Xiaomi представила зубную щетку с 31 тысячей вибраций в минуту
Xiaomi представила зубную щетку с 31 тысячей вибраций в минуту

Рентген челюсти ребенка. Фото: Saveetha Dental College and Hospital

"Всего было 526 зубов, размер которых варьировался в диапазоне от 0,1 мм до 15 мм. Даже у самых маленьких зубов имелся корень и эмаль", – заявила доктор Пратиба Рамани, руководившая операцией.

Відео дня

По ее словам, мальчика выписали из больницы спустя несколько дней после операции. Он идет на поправку и полностью выздоровеет.

Часть извлеченных зубов. Фото: Saveetha Dental College and Hospital

Рамани предполагает, что причиной произошедшему может быть или редкое генетическое заболевание, или некие факторы окружающей среды, например, радиация.

Родители ребенка признались, что отеки и боли у мальчика появились еще в 3 года, но они просто не могли заставить его явиться на осмотр к врачам.

Как ранее сообщал Фокус: