Филиппинец обнаружил, что больше года жил с ножом в груди

Кент Райан Томао, нож в груди
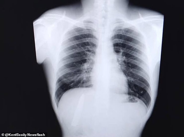
Кент Райан Томао и его рентгеновский снимок | Фото: The Guardian

Кент Райан Томао получил ножевое ранение во время стычки на улице, однако врачи даже не сделали ему рентген

25-летний Кент Райан Томао внезапно обнаружил, что причиной колющей боли в груди оказалось лезвие ножа. И он прожил с ним 15 месяцев. Об этом пишет Daily Mail.

На мужчину напала банда подростков в январе прошлого года в городе Кидапаван. Истекающего кровью Кента доставили в государственную больницу, где врачи зашили рану и отправили его домой.

"Врач просто зашил меня и сказал, что рана не такая уж и глубокая", — сказал Кент.

Однако в марте 2021 года молодой человек захотел устроится на работу на шахту в провинции Агусан-дель-Сур. Ему пришлось пройти медицинское обследование сделать рентген. Каково же было его удивление, когда оказалось, что все это время он жил с лезвием в груди.

Відео дня
Кент Райан Томао, нож в груди

"Я чувствовал колющую боль в груди в холодную погоду, но я не знал, что причиной этому нож", — признался Кент.

Видимо, когда его ударили ножом, лезвие отломалось и застряло в теле, чудом не задев сердце, или легкие.

Он добавил, что не хочет подавать в суд на больницу или врача, лечившего его, за то, что он не обнаружил нож, но вернется в ту самую больницу, чтобы лезвие все-таки удалили.