Разделы
Материалы

Плачут ли младенцы в утробе матери: ученые дали интригующий ответ

Фото: ScienceAlert

По словам исследователей, плод делает определенные "тренировки" перед своим появлением на свет.

Начиная со второго триместра беременности, мама может почувствовать, как ребенок пинается и переворачивается, но может ли он плакать? С помощью ультразвука ученым удалось увидеть, как у плода, возрастом 33 недели, на лице была мимика, которая была похожа на плач. После этого ученые провели вибрационную и шумовую стимуляцию плода и заметили интересное поведение, сообщает ScienceAlert.

Во время стимуляции младенец широко открыл рот, сделал несколько выдохов и запрокинул голову, все закончилось дрожью подбородка. Подобное поведение было замечено у 10 младенцев. Был ли это плач? Все зависит от того, что вы подразумеваете под плачем, говорят ученые.

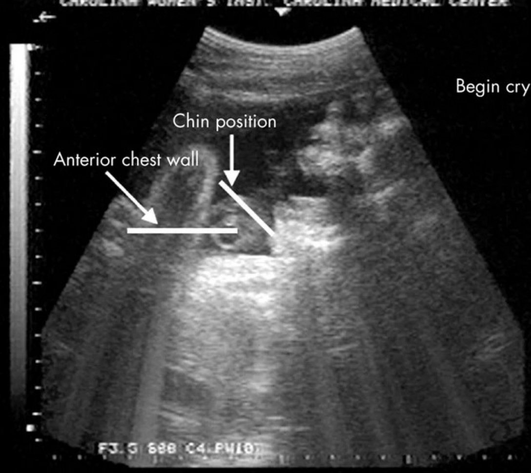
Изменения выражения лица младенца в утробе матери
Фото: ScienceAlert

Плачут или нет?

"Если вы имеете в виду под словом плач громкий крик, который выражает сильные чувства или эмоции, то младенцы в утробе матери не плачут", — говорит Надя Рейссланд из Даремского университета в Великобритании.

В утробе младенец не может наполнить легкие воздухом, который бы заставил вибрировать голосовые связки, и ребенок начал бы кричать. Для этого ему нужно появится на свет.

Разные выражения лица

Рейссланд и ее коллеги изучили выражения лица плода в утробе с помощью 4D ультразвуковой визуализации. Они определи две формы мимики, которые они назвали "плачущее лицо" и "смеющееся лицо". По их словам, эти выражения лица является предшественниками того, как будет действовать ребенок после рождения.

Выражения лица ребенка в утробе матери
Фото: ScienceAlert

Эти выражения лица развиваются в период примерно от 24 до 35 недель, и эта мимика становится сложнее с продолжением развития плода. Таким образом ребенок готовится к тому, чтобы издать свой первый крик после рождения, говорят ученые.

Подобная мимика у ребенка появлялась без какой-либо внешней стимуляции со стороны ученых. И они не знают делает ли плод попытки издать звук, хотя даже если бы младенец и пытался это сделать, звуковая волна будет слишком слабой, чтобы ее можно было услышать. Также неизвестно связано ли плачущее выражение лица с дискомфортом у плода.

Задачей ученых было помочь другим исследователям в создании полезных приборов для выявления нарушений развития и других проблем со здоровьем у плода. Ребенок развивает полноценные выражения лица уже после рождения с помощью взаимодействия с родителями и другими людьми, говорит Рейссланд. Но он готовится к этому еще в утробе матери.

Напоминаем, что ученые выяснили, когда дети начинаются впервые шутить.