Разделы
Материалы

Лучше табак. Ученые доказали, что курить "травку" гораздо вреднее сигарет

Трава | Фото: RTVI

Новое исследование гласит о повышенном риске заболевания на эмфизему легких у любителей марихуаны.

Некоторые люди любят курить что-то необычные. Обычно они обращаются к марихуане. Это помогает расслабиться. Более того, иногда определенные курильщики употребляют марихуану на постоянной основе.

Согласно последним исследованиям, ее частое употребление может быть гораздо более вредным, чем курение обычных сигарет с табаком, — пишет Sci Tech Daily.

У Фокус. Технологии появился свой Telegram-канал. Подписывайтесь, чтобы не пропускать самые свежие и захватывающие новости из мира науки!

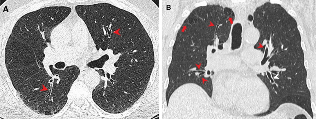
Исследование в журнале Radiology утверждает, что у курильщиков марихуаны чаще встречается эмфизема. Во время этого в легких увеличивается объем альвеол из-за разрушения перепонок между ними. При этом заболевании тяжело делать выдох. Кроме того, легкие становятся безжизненными. Ученые предполагают, что результаты исследования могли быть обусловлены тем, что дым марихуаны попадает в легкие нефильтрованным.

Ученые уже многое знают о влиянии сигарет на легкие, в отличие от марихуаны. Автор исследования Жизель Рева предположила, что курение "травки" накапливает в разы больше частиц в легких, чем обычная табачная сигарета. Чтобы проверить это утверждение, она и ее коллеги сравнили КТ 56 курильщиков марихуаны с результатами 57 некурящих, а также группой из 33 курильщиков табака.

Обнаружили, что три четверти или 75% курильщиков марихуаны получили эмфизему. Зато ценители табака получили более низкий результат – 67%.

КТ легких
Фото: Sci Tech Daily

Также ученые отмечают, что воспаление дыхательных путей было более распространенным именно у курильщиков марихуаны. Похожая ситуация была с гинекомастией – увеличение грудной железы у мужчин. Соотношение в процентах курильщиков табака и марихуаны было 11 к 38. Похожие результаты получили во время соответствующих по возрасту подгрупп тоже.

Доктор Рева отметила, что результаты были неожиданными. Причина этого в том, что у некоторых людей был большой опыт курения обоих видов. Но о значительном влиянии марихуаны на легкие узнали только сейчас.

На данный момент планируют проводить дополнительные исследования.

Марихуана – самое распространенное вещество, которое курят после табака. По последним данным, 48,2 миллиона человек, или около 18% американцев, употребляли марихуану как минимум один раз в 2019 году. В последние годы ее потребление значительно увеличилось на фоне легализации.

Ранее Фокус писал о необычном каннабисе в Австралии, светившемся розовым колькором в небе.