Разделы
Материалы

"Солнцезащитный крем" не помог. Названа причина массового вымирания на Земле 250 млн лет назад

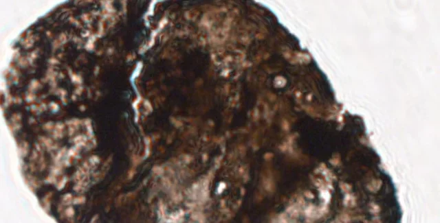
Пыльцевое зерно, использованное в исследовании | Фото: Prof Liu Feng/Nanjing Institute of Geology and Palaeontology

О том, что произошло в то время на планете рассказала древняя пыльца.

Известно, что 250 миллионов лет назад на Земле произошло массовое вымирание, унесшее жизни 80% всего живого, включая растения, животных и птиц. Ученые полагают, что сегодня им удалось узнать больше о событиях того времени, пишет Independent.

Группа исследователей из Великобритании, Германии и Китая провела анализ древних пылевых зерен, сохранившихся в горных породах, извлеченных в Тибете. Образцы размером меньше человеческого волоса, похоже, пролили свет на события, которые произошли на Земле 250 миллионов лет назад.

У Фокус. Технологии появился свой Telegram-канал. Подписывайтесь, чтобы не пропускать самые свежие и захватывающие новости из мира науки!

Проанализировав имеющиеся данные ученые пришли к выводу, что ультрафиолет сыграл "важную роль в массовом вымирании в конце пермского периода".

По словам соавтора исследования профессора Барри Ломакса из Ноттингемского университета, солнечный свет необходим растениям для фотосинтеза, однако им также приходится защищать себя и свою пыльцу от вредного воздействия ультрафиолета. Для этого растения загружают внешние стенки пыльцевых зерен соединениями, которые по сути работают как "солнцезащитный крем" — защищают уязвимые клетки и тем самым гарантируют успешное размножение.

Исследователи знают, что около 250 миллионов лет назад произошло массовое вымирание, унесшее жизни 80% населения планеты. Это событие является самым серьезным из пятерки массовых вымираний, однако ученые не до конца понимают, что произошло.

Предполагается, что массовое вымирание было обусловлено извержением вулкана, который был размером с современную Сибирь. В результате чего в атмосферу было выброшено огромное количество углерода, что привело к парниковому эффекту. Внезапное потепление должно было затронуть озоновый слой и привело бы к его ослаблению — в результате чего растения и животные подверглись бы вредному ультрафиолетовому излучению.

Исследователи также отмечают, что данную теорию подтверждают и другие открытия деформированных спор и пыльцевых зерен того времени — все они свидетельствуют о разрушениях, вызванных ультрафиолетовым излучением.

По словам еще одного соавтора исследования доктора Уэса Фрейзера из Университета Оксфорд-Брукс, извержение вулкана такого масштаба затронуло бы все аспекты земной системы — от химических изменений в атмосфере до сокращения питательных источников пищи, доступных для животных.

Ранее Фокус писал о том, что на Земле уже началось шестое массовое вымирание: ученые назвали первые признаки.