Разделы
Материалы

На всю оставшуюся жизнь. Редкий вид рака заставил мужчину разговаривать с ирландским акцентом

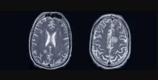
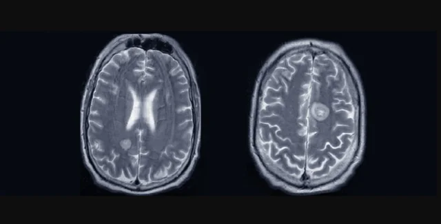
МРТ поражений головного мозга пациента, соответствующих внутричерепным метастазам | Фото: Broderick et al., BMJ Case Report

Редкая форма рака простаты заставила мужчину внезапно заговорить с акцентом, очень похожим на ирландский. Это резкое изменение застряло с ним на всю оставшуюся жизнь.

В медицинской литературе есть только два других сообщения о раке, вызывающем синдром иностранного акцента (СИА). Это первый случай, конкретно связанный с раком простаты, пишет Science Alert.

У Фокус. Технологии появился свой Telegram-канал. Подписывайтесь, чтобы не пропускать самые свежие и захватывающие новости из мира науки!

СИА — это необычное расстройство речи, которое может вызвать у человека внезапный "иностранный" акцент по неизвестной причине, с изменением произношения таким образом, который напоминает — по крайней мере внешне — интонацию другого диалекта или языка.

Синдром чаще всего связан с инсультами или черепно-мозговыми травмами. Самый известный случай, например, произошел с норвежской женщиной в 1941 году, которая получила травму головы во время бомбардировки Осло. Несколько месяцев спустя она начала говорить с чем-то вроде немецкого акцента.

Более свежий пример попал в новости всего несколько лет назад, когда женщина из Аризоны буквально проснулась, говоря как "Мэри Поппинс". В ее случае причина не была ясна.

Гораздо реже встречаются случаи, окончательно связанные с какими-либо опухолями. На самом деле, в литературе есть только два других примера.

Согласно исследованию, опубликованному в 2008 году, женщина в возрасте 60 лет начала говорить с другим, неустановленным акцентом после того, как ее рак молочной железы распространился на ее мозг.

В аналогичном случае итальянка лет 50 с опухолью головного мозга внезапно начала говорить в другом ритме и мелодии.

Несмотря на внимание, уделяемое историям, в которых у людей внезапно появляется определенный иностранный акцент, в большинстве случаев ФАС представляют собой общие изменения в воспроизведении речи, которые нельзя легко связать с каким-либо конкретным географическим регионом.

Недавний случай с мужчиной из США, у которого диагностирован рак простаты, является редким примером изменения голоса, очень похожего на узнаваемый акцент. По-видимому, он не был ирландского происхождения и даже никогда не был в Ирландии. Тем не менее, всего через 20 месяцев после того, как ему поставили диагноз "метастатический гормоночувствительный рак простаты", он начал говорить с южным ирландским акцентом.

В отличие от предыдущих сообщений о случаях, у этого пациента изначально не было заметных опухолей в головном мозге, хотя некоторые из них действительно возникали по мере прогрессирования болезни.

Учитывая время, врачи подозревают, что СИА пациента был результатом редкого паранеопластического неврологического расстройства (ПНД). ПНД возникает, когда рак вне головного мозга вызывает иммунный ответ, который может воздействовать на нервную систему издалека.

Несмотря на химиотерапию и облучение, рак пациента продолжал быстро прогрессировать, постепенно парализуя его тело и, к сожалению, в конечном итоге привел к летальному исходу. Мужчина до самого конца сохранял свой ирландский акцент.

"Эта необычная презентация подчеркивает важность дополнительной литературы по СИА и ПНД, связанным с раком предстательной железы, для улучшения понимания связи между этими редкими синдромами и клинической траекторией", — пишут авторы тематического исследования.

Ранее Фокус писал о том, как можно заморить раковую опухоль голодом. Как показывают недавние исследования, аргинин является важным питательным веществом для раковых клеток. И его недостаток в них может потенциально сделать опухоли более уязвимыми для естественного иммунного ответа организма.