Ученые впервые увидели, что происходит в женском мозге во время оргазма

Необычное исследование провел профессор Барри Комисарук, психолог из Университета Ратджерс. Он снял на видео, что происходит в мозге женщины во время оргазма. Эксперт уверен, что данное открытие поможет в лечении женщин с сексуальными нарушениями

Профессор Барри Комисарук, психолог из Университета Ратджерс, провел необычное исследование. Он решил наглядно показать, что происходит в мозге женщины во время оргазма, передает Euromag.

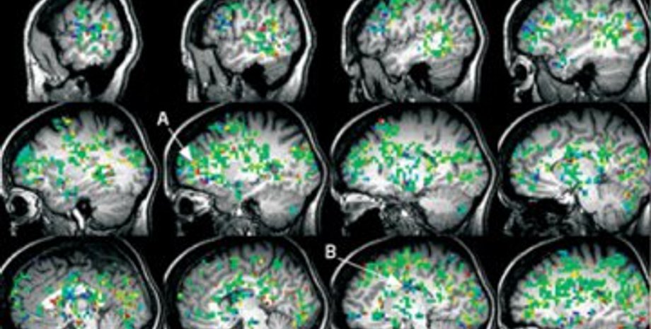
Профессор снял видео с помощью магнитно-резонансной томографии. Это позволило понять, какие области мозга задействованы во время оргазма. Оказалось, активируются более 80 областей человеческого мозга, о чем говорили также показатели кислорода в крови. В том числе и те участки головного мозга, которые отвечают за боль, осязание и память. Кроме того, заметно активизируется предлобная кора. Данный отдел мозга отвечает за воображение.

Відео дня

Во время оргазма почти весь мозг "окрашивался" в желтый цвет. Значит, большинство систем мозга активизировалось. Активность начиналась с сенсорной коры, связанной с гениталиями, но быстро распространялась на лимбическую систему, связанную с эмоциями и памятью.

Момент самого оргазма отмечался пик активности в гипоталамусе, высвобождающем гормон окситоцин ("гормон объятий"). Эксперт надеется, что данное открытие поможет в лечении женщин с сексуальными нарушениями.