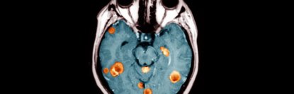
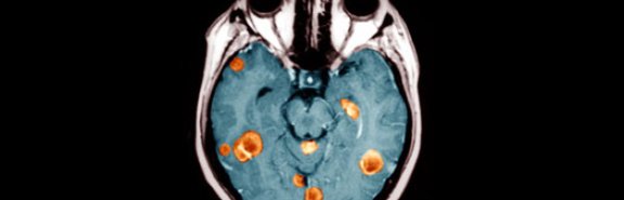
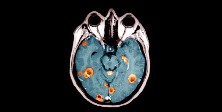
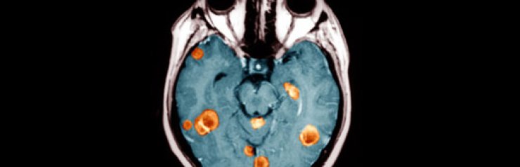
Ученые нашли гены, ответственные за возникновение рака мозга

Ученые из Колумбийского университета обнаружили два гена, ответственные за возникновение одной из наиболее быстро развивающихся форм рака головного мозга

Так называемая Glioblastoma multiforme в считанные месяцы приводит к развитию неоперабельной опухоли, однако до сегодняшнего дня медики не могли понять причину столь стремительного протекания заболевания.

Как сообщает cybersecurity.ru, исследование группы ученых указывает в качестве наиболее возможной причины пару генов: C/EPB и Stat3. Оба гена работают вместе, "запуская" генетическую цепочку, приводящую к превращению здоровых клеток мозга в раковые.

Как показали результаты исследования, все пациенты, у которых были задействованы оба эти гена, умерли в течение 140 недель после постановки диагноза.

Відео дня

В группе пациентов, у которых эти гены были неактивны, к этому моменту жив был каждый второй.

Руководитель исследования Антонио Иавароне говорит, что эти гены задают организму программу, выступая своеобразным катализатором образования опухоли.

"При одновременной активности они подключают к работе еще несколько сотен генов, превращающих здоровые клетки головного мозга в блуждающие", - пояснил Иавароне. "Наше открытие означает, что одновременное подавление активности обоих генов с помощью медицинских препаратов может быть мощным средством для пациентов, подходящего лечения для которых не существует", - добавил он.

В ходе эксперимента, поставленного генетиками, раковые клетки, пересаженные мышам, теряли способность к размножению, если предварительно ученые блокировали у них работу двух генов. Сейчас команда Колумбийского университета пытается разработать препарат, который давал бы тот же эффект.

По словам доктора Иавароне, открытие роли генов C/EPB и Stat3 в развитии рака стало для ученых полной неожиданностью - раньше об их участии в этом процессе даже не подозревали. "С терапевтической точки зрения это означает, что мы больше не должны тратить время, разрабатывая препараты для борьбы с факторами, минимально влияющими на развитие рака мозга - мы можем сразу приниматься за главную причину", - пояснил руководитель исследования.