Новое исследование показало, как коронавирус влияет на головной мозг

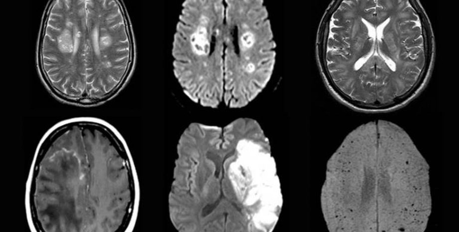
Фото: UCL
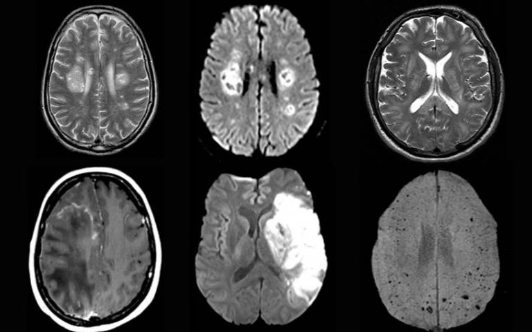
Фото: UCL

Коронавирус может привести к воспалению головного мозга, инсульту и повреждению нервов.

Ученые Университетского колледжа Лондона (UCL) указали на возможность волны заболеваний головного мозга из-за СOVID-19.

Они изучили протекание болезни у 43 человек в возрасте от 16 до 85 лет. У 10 из них была выявлена временная дисфункция мозга, а у 12 — его воспаления, некоторые из которых являлись острым диссеминированным энцефаломиелитом. Также наблюдались другие серьезные повреждения, например инсульты.

При этом у некоторых пациентов в исследовании не было серьезных респираторных симптомов, и неврологическое расстройство было основным проявлением COVID-19.

Важно
Великобритания начала исследование долгосрочных последствий коронавируса
Великобритания начала исследование долгосрочных последствий коронавируса

"Мы должны быть бдительными и следить за подобными осложнениями у больных COVID-19. Увидим ли мы эпидемию повреждений головного мозга, возможно, похожую на вспышку летаргического энцефалита в 1920-х и 1930-х годах после пандемии гриппа 1918 года – еще неизвестно", – сказал старший автор исследования Майкл Занди.

Відео дня

При этом вирус SARS-CoV-2, вызывающий COVID-19, не был обнаружен в мозговой жидкости ни у одного из протестированных пациентов. Это позволяет предположить, что вирус непосредственно не воздействовал на мозг, вызывая неврологическое заболевание. Необходимы дальнейшие исследования, чтобы определить, почему же у пациентов развивались эти осложнения.

У некоторых пациентов исследователи обнаружили указания на то, что воспаление мозга, вероятно, было вызвано иммунным ответом организма на заболевание.

Авторы исследования предупреждают, что дальнейшие исследования будут необходимы для выяснения того, как именно вирус вызывает повреждение мозга и как его лечить. "Врачи должны знать о возможных неврологических эффектах, так как ранняя диагностика может улучшить результаты лечения пациентов", – напомнил Росс Патерсон.

Доктор Дэвид Стрейн из Медицинской школы Университета Эксетера, который не принимал участия в исследовании, назвал полученные данные важными, но не удивительными, учитывая уже имеющийся опыт. "Мы уже видели, что некоторым людям с COVID-19 может потребоваться длительный период реабилитации: как физические упражнения, так и реабилитация мозга. Нам нужно больше понять о влиянии этой инфекции на мозг", – предупреждает он.

Напомним, о широкой направленности коронавируса уже неоднократно сообщалось и ранее. Так журнал Science писал еще в апреле, что COVID-19 поражает не только дыхательную систему, но и практически все жизненноважные органы человека, особенно у тяжелобольных.

При этом последствия могут быть весьма необычными. Например, Американский журнал неотложной медицинской помощи опубликовал отчет о нестандартном симптоме COVID-19, который наблюдался у 62-летнего пациента. У него на протяжении четырех часов наблюдалась эрекция полового члена.