Розділи
Матеріали

У США жінка померла від амеби, яка з'їла її мозок: вона промивала ніс водою з-під крана

Ксенія Коваленко
Фото: Dr. James Roberts/Children's Healthcare of Atlanta

У Техасі літня жінка померла від рідкісної інфекції мозку, якою заразилася під час промивання носа водою, що зберігалася в баку автофургона. Лабораторні аналізи показали, що 71-річна жінка була інфікована амебою, яка поїдає мозок.

Про це пише Science Alert.

Йдеться про крихітний Naegleria fowleri — вид одноклітинних еукаріотичних організмів, які спричиняють летальне захворювання первинний амебний менінгоенцефаліт (ПАМ). Смертельно небезпечний мікроб зазвичай мешкає в теплих водоймах із прісною водою, наприклад, у ставках, озерах і занедбаних басейнах. Найчастіше люди заражаються під час плавання або занять водними видами спорту.

"Пацієнтка не купалася у водоймах, але кілька разів промила ніс некип'яченою водою з водопровідного крана в автофургоні протягом чотирьох днів до початку захворювання. Попри медичне лікування ймовірної інфекції ПАМ, у пацієнтки розвинулися судоми, і вона згодом померла за вісім днів після появи симптомів", — ідеться у звіті Центру з контролю та профілактики захворювань США.

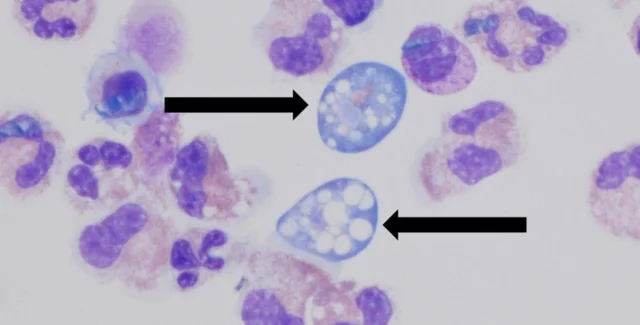
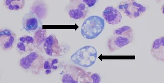
Амебний менінгоенцефаліт, спричинений Naegleria fowleri
Фото: CDC/Dr. Govinda S. Visvesvara/Public Domain

У лабораторії не змогли виявити амебу в зразках із резервуара автофургона або системи водопостачання кемпінгу. Але також зазначається, що забір зразків було зроблено через 23 дні після можливого контакту, який завершився смертю.

Щоправда, тестування показало, що рівень дезінфекційного засобу у воді був недостатнім, щоб запобігти поширенню N. Fowleri. Fowleri. Вода була каламутною, що також є ознакою того, що дезінфекційного засобу було недостатньо.

Медики радять використовувати для промивання носа тільки дистильовану або стерилізовану воду.

Річ у тім, що N. Fowleri дуже любить тепле середовище. В організмі людини вона долає поріг у 25 градусів за Цельсієм, який перетворює її на мікроб, що активно розмножується, з ненаситним апетитом.

Коли N. Fowleri потрапляє в організм людини будь-яким іншим способом, то наша імунна система швидко справляється з непроханим гостем. Але через ніс у амеби відкривається прямий шлях у мозок.

Ненажерливий патоген прогризає мембрану, яка необхідна для нюху і називається нюховим епітелієм. Далі він прямує нервовими волокнами, які передають сигнали запаху назад у мозок. Патоген поїдає дорогою астроцити та нейрони, поки не досягає мозку.

Більшість людей з N. Fowleri помирають протягом 1-18 днів після появи перших симптомів. Серед попереджувальних знаків може бути головний біль, лихоманка, нудота і блювота. Стан погіршуватиметься до ригідності потиличних м'язів, коли людина не може зігнути шию, а також сплутаності свідомості, втрати рівноваги та галюцинацій.

Нагадаємо, хижий організм убив дворічного хлопчика після відвідування гарячих джерел. Несамовитий випадок, що стався в штаті Невада, змусив знову звернути увагу на рідкісну, але смертельно небезпечну інфекцію, спричинену амебою, відомою як Naegleria fowleri.