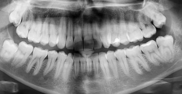
Дослідники кажуть, що треті моляри ростуть з певних причин, які пов'язані з минулим людини.
-
-
Новина звучить особливо тривожною після того, як було оприлюднено провальні результати експериментів на тваринах.
-
Дослідники відтворили стародавню тварину, яка мешкала на дні океанів.
-
Дослідники виявили незвичайний нюанс у роботі нашого носа і сигналах, що надсилаються в мозок.
-
Дослідники кажуть, що саме тоді ознаки життя на планеті були найпомітнішими.
-
Нове дослідження проливає світло на те, як домашні та дикі коти уживалися на одній території.
-
З висоти понад 400 км над поверхнею Землі було зроблено знімки незвичайного озера і річки.
-
Дослідники кажуть, що наш біологічний вік не завжди відповідає хронологічному віку.
-
Дослідники кажуть, що в цю категорію потрапляє більша частина жителів планети.
-
Дослідники кажуть, що вкрай проста дієта може вберегти від зайвих кілограмів і хвороб, пов'язаних із ними.