Підтримайте нас

МИ В СОЦМЕРЕЖАХ:

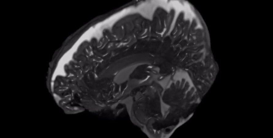
Пульсує і рухається. Вчені показали зсередини, як працює людський мозок (відео)

мозок МРТ
Фото: Courtesy of Stevens Institute of Technology

На відео видно, як мозок тремтить всередині черепа, коли кров та інші рідини протікають в ньому.

У нових дослідженнях вчені використовували метод сканування мозку, який часто використовується для захоплення статичних 2D-зображень органів, щоб замість цього створювати 3D-відео мозку, що рухається в реальному часі. Можна побачити тканину мозку, що пульсує у відповідь на приплив крові до кровоносних судин, і спинномозкову рідину, яка несе живильні речовини і пом'якшує мозок, протікаючи всередині та навколо порожніх просторів в органі, повідомляє Livescience.

Нові відео "збільшують" ці дії в мозку, підкреслюючи рух, щоб його можна було легко проаналізувати. З цієї причини новий метод отримав назву "3D збільшена магнітно-резонансна томографія" або 3D уМРТ.

Відео дня

"Насправді, це дуже невеликий рух, зазвичай від 0,002 дюймів до 0,015 дюймів (від 50 до 400 мікрометрів), з точки зору того, наскільки сильно деформується тканина", — говорить Мехмет Курт, доцент кафедри машинобудування в Технологічному інституті Стівенса в Нью-Джерсі, професор Медичної школи Ікана на горі Синай в Нью-Йорку.

Створення рухів приблизно в 25 разів більше дозволило дослідникам оцінити цю дію докладніше, з точністю відстежуючи його напрямок та амплітуду.

Колись нова техніка сканування може виявитися корисною під час діагностики та лікування захворювань, коли рідини не можуть проходити через мозок. "Одним із таких захворювань є гідроцефалія, при якій надлишок рідини накопичується в порожнинах мозку", — говорить Саманта Голдсворт, старша викладачка Оклендського університету в Новій Зеландії.

"Нам необхідно виконати велику роботу, щоб дійсно довести її клінічне застосування, але така природа всіх нових технологій", — говорить вона.

Щоб створити нову техніку сканування, команда почала з базової МРТ, яка використовує сильні магніти для застосування магнітного поля до тіла. Унаслідок всі ядра водню в молекулах води в тілі шикуються в ряд із цим магнітним полем.

Потім сканер випускає радіочастотний струм, який стимулює ядра водню, змушуючи їх порушити порядок. Коли цей радіочастотний струм відключається, всі ядра повертаються в початкове положення, але роблять це з різною швидкістю залежно від того, яка тканина їх оточує. Кожне ядро ​​випромінює радіосигнал, коли воно повертається в ряд, і машина вловлює цей сигнал і використовує його для створення зображення.

Застосовуючи до тіла кілька магнітних полів, МРТ також можна використовувати для створення тривимірних зображень, які можна розглядати під різними кутами.

Ще в 2016 році Голдсворт та її колеги використовували цю базову технологію МРТ для створення уМРТ. По суті, метод враховує з'єднання серії зображень МРТ, знятих у послідовні моменти часу, для створення короткого фільму, а також посилення невловимих рухів, зафіксованих у кожному кадрі.

"Спочатку уМРТ можна було використовувати тільки для відстеження дій в одній площині, наприклад, якщо дивитися збоку або зверху на мозок, але не відразу під кількома кутами", — говорить Голдсворт. Тепер же техніка дозволяє побачити все з трьох різних позицій одночасно.

"Двовимірна версія була неповною з біомеханічної точки зору, це було неповне сприйняття того, що відбувалося", — говорить Курт. "Це може мати вирішальне значення з діагностичної точки зору", — говорить він.

За словами Голдсворт, для відстеження руху в головному мозку також можна використовувати кілька інших методів МРТ, а саме, кодування зміщення зі стимульованою луною і фазово-контрастну МРТ. "Однак перевага уМРТ в тому, що ви можете бачити рух щодо основної анатомії, а це дійсно досконала анатомія", — говорить вона. У той час як інші методи дозволяють отримати дещо більш розпливчасту картину мозку з гіршим тимчасовим дозволом, 3D уМРТ може створювати кадри мозку в реальному часі з разючим просторовим дозволом 1,2 кубічних міліметри.

Тепер дослідники використовують свою техніку для вивчення синдрому Кіарі, стану, коли частина мозку проштовхується вниз через отвір в основі черепа, через який проходить спинний мозок. Курт також вивчає гідроцефалію у новонароджених, скануючи їх мозок до і після коригувальної операції. Крім того, він використовує модифіковану версію методу сканування, названу aFlow, для вивчення аневризм, коли стінка артерії слабшає і випинається. За словами Курта, моніторинг очевидних змін кровотоку може допомогти лікарям передбачити, коли може відбутися розрив аневризми.

У Новій Зеландії Голдсворт сканує мозок пацієнтів зі струсом мозку, щоб побачити, чи проявляються загальні закономірності в тому, як рідина тече через їх мозок після травм. За словами Голдсворт, її група також планує вивчити, чи можна використовувати уМРТ для непрямого вимірювання тиску в мозку, оскільки наразі для прямого виміру потрібно просвердлити невеликий отвір у черепі.

Тиск у головному мозку може збільшуватися з багатьох причин, враховуючи травми, пухлини, інфекції та аневризми. У людей із захворюванням, званим ідіопатичною внутрішньочерепною гіпертензією, точна причина підвищення тиску невідома, але воно може викликати симптоми, схожі на симптоми пухлини головного мозку, говорять вчені.