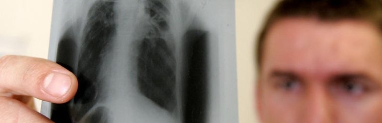
В Украине не хватает врачей-фтизиатров

За последние шесть лет количество людей, заболевающих туберкулезом ежегодно, по сравнению с 2006 годом уменьшилось на 19%, количество областей с высоким уровнем заболеваемости также сократилось с семи до двух

Тем не менее, Украина по-прежнему относится к странам с высоким уровнем заболеваемости туберкулезом.

"Нельзя не обратить внимание на то, что уровень заболеваемости среди сотрудников противотуберкулезных учреждений увеличился на 110,7% по сравнению с предыдущим периодом. На сегодняшний день на 10000 человек населения приходится 0,6 фтизиатра, что является кадровым кризисом. Профессия врач-фтизиатр не очень популярна, в связи с высоким риском заражения", - отметила Ольга Сокальская, представитель государственной службы Украины по вопросам борьбы с ВИЧ/СПИД.

Сегодня государство не может в полной мере обеспечить достойной материально-технической базой противотуберкулезные учреждения. Эпидемиологи опасаются, что вскоре в Украине не останется здоровых, квалифицированных фтизиатров.

Відео дня

Ранее Министерство здравоохранения заявило об угрозе распространения мультирезистентного туберкулеза (форма туберкулеза, при которой имеется устойчивость туберкулезной палочки к противотуберкулезным препаратам).

В связи с этим агентство США по международному развитию (USAID) решило выделить 17,9 млн. долларов на борьбу с туберкулезом в Украине в 2012-2017 годах.

В сентябре 117 общественных организаций обратились к Виктору Януковичу поспособствовать выделению 1 млрд. гривен в государственном бюджете на 2013 год на лечение больных туберкулезом, ВИЧ/СПИДом и гепатитами.

Фокус.ua