МЫ В СОЦСЕТЯХ:

В Украине в пять раз увеличилась заболеваемость пневмонией

Фото: workingmama
Фото: workingmama

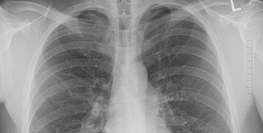
По словам Максима Степанова, за прошлую неделю пневмонией заболели 22400 человек.

За неделю количество пневмоний увеличилось в 5 раз по сравнению с недельной заболеваемостью в июле. Об этом сообщил глава Минздрава Максим Степанов на брифинге.

"Существенно увеличилось количество людей с пневмониями, за прошедшую неделю это 22 400 человек. Для понимания, например, в неделю с 13 по 19 июля всего было пневмоний 4 424, то есть более чем в 5 раз рост ", – сказал Степанов.

По его словам, сейчас растет не только количество заболевших, но и количество госпитализаций.

Важно
Пандемия недоверия. Как Украина подошла к катастрофе и почему власть не вводит строгий карантин
Пандемия недоверия. Как Украина подошла к катастрофе и почему власть не вводит строгий карантин

За минувшие сутки госпитализирован 521 человек. Скончались 43 человека, среди них – 17-летний парень, у которого онкологическое заболевание.

Відео дня

За сутки коронавирус зафиксировали у 235 детей и у 166 медработников. За все время пандемии в Украине заболели 16 612 детей и 17 922 медработника.

Напомним, в Украине обновили карантинные зоны по эпидемической ситуации в регионах. Киев вернулся в "оранжевую зону". В "красную зону" карантина попали Канев и Сумы.