Ученые полностью расшифровали генетический код раковых клеток легких и кожи

Генетики заявляют, что им удалось полностью расшифровать генетический код двух самых распространенных онкологических заболеваний - рака кожи и легких

По словам представителей фонда Wellcome Trust, это открытие может совершить революцию в профилактике и лечении раковых заболеваний. Оно позволит не только определять наличие опухоли на более ранней стадии по результатам анализа крови, но и поможет при разработке новых более эффективных лекарств, сообщает УНИАН.

Ученые по всему миру сейчас работают над каталогизацией генов, в которых могут происходить мутации при развитии раковой опухоли в различных органах. В частности, в Британии изучают рак груди, в Японии - печени, в Индии - ротовой полости, в Китае - рак желудка, а в США - мозга, яичников и щитовидной железы.

Відео дня

По словам экспертов из Международного консорциума по изучению генома рака, на завершение этой громадной работы уйдет еще по меньшей мере 5 лет и сотни тысяч долларов.

По словам возглавляющего британскую группу ученых профессора Майкла Страттона, как только эта работа будет закончена, она сразу же даст свои плоды. "Эти каталоги изменят наши представления о раке - о каждом конкретном случае. Определив все гены рака, мы сможем разработать новые лекарства, воздействующие на конкретные гены-мутанты".

Также, по его словам, появится возможность разработать методику анализа крови, способную выявлять у здоровых взрослых людей генетическую предрасположенность к раку.

Ученые обнаружили в ДНК клетки опухоли, развившейся из-за рака кожи - меланомы - более 30 тысяч ошибок генетического кода, причем практически все из них были вызваны чрезмерным воздействием солнечного излучения.

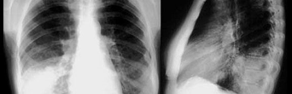
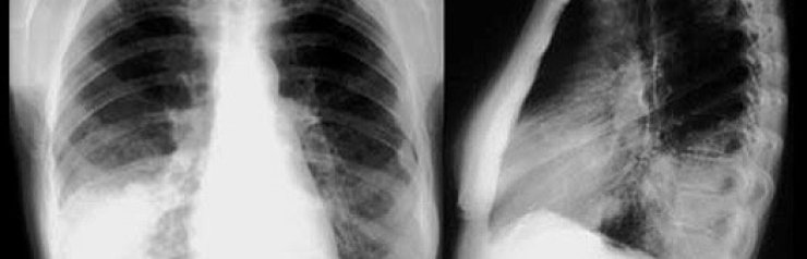
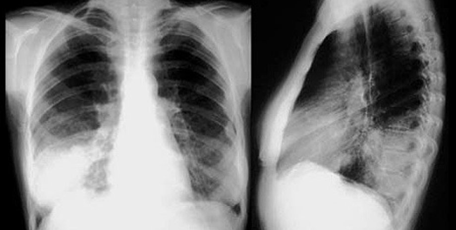
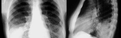
В ДНК рака легких генетики насчитали 23 тысячи ошибок - в значительной степени спровоцированных воздействием табачного дыма. Из этого ученые сделали вывод, что у среднего курильщика на каждые 15 выкуренных сигарет приходится по одному нарушению генетического кода.

Несмотря на то, что многие из этих нарушений могут быть вполне безобидными, некоторые в результате приводят к развитию рака.

Один из экспертов, проводивших исследование, Питер Кэмпбелл, сравнил курение с игрой в русскую рулетку. "Большинство мутаций придется на не несущую важной информации часть генома, однако некоторые из них попадут в нужное место и спровоцируют возникновение рака", - сказал он.

При этом, по его словам, люди, бросающие курить, уменьшают вероятность заболеть раком легких, так как рано или поздно клетки, содержащие мутировавшие гены, будут заменены новыми.