Продырявил горло: британец был госпитализирован из-за того, что сдержал сильный чих (фото)

Рентген, снимок горла, чихнул и порвал горло, сдержал сильный чих, изменился голос, спонтанный разрыв гортани, чихание
Иллюстративное фото | Фото: Pexels

Врачи сказали, что струйки воздуха застряли в некоторых тканях горла и разорвали его. Они отметили, что спонтанный разрыв гортани встречается очень редко.

В Великобритании мужчина, имя которого осталось в тайне, повредил горло из-за того, что сдержал сильный чих. Об этом пишет NDTV.

В отчете врачи сообщили, что ранее здоровый британец обратился в службу скорой помощи с "изменением голоса" после особенно "сильного чихания".

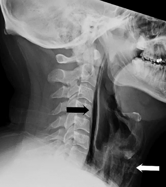
Согласно статье, опубликованной в журнале BMJ Case Reports в 2018 году, 34-летний британец попытался подавить чихание, зажав рот и перекрыв обе ноздри, но сила чиха привела к разрыву горла. В тексте под названием "Snap, crackle, and pop: when sneezing leads to crackling in the neck" утверждалось, что мужчина "пытался остановить процесс, зажав нос и зажав рот".

Відео дня

После этого у британца появились странные симптомы: боль при глотании, изменение голоса, ощущение хруста и припухлости в шее. Он решил обратиться за медицинской помощью.

Врачи сказали, что струйки воздуха застряли в некоторых тканях горла и разорвали его. Спонтанный разрыв гортани встречается очень редко, обычно он вызывается рвотой, рвотным рефлексом, сильным кашлем или какой-либо травмой.

Рентген, снимок горла, чихнул и порвал горло, сдержал сильный чих, изменился голос, спонтанный разрыв гортани
Спонтанный разрыв гортани встречается очень редко
Фото: BMJCaseReports

Мужчина был взят под медицинское наблюдение, чтобы исключить риск развития глубокой инфекции шеи. Пациенту была установлена питательная трубка и назначены антибиотики. Через две недели он поправился и начал принимать мягкую пищу.

"Прерывание чихания путем блокирования ноздрей и рта — опасный маневр, и его следует избегать. Это может привести к многочисленным осложнениям, таким как псевдомедиастинум [воздух, попавший в грудную клетку между обоими легкими], перфорация барабанной перепонки [перфорированная барабанная перепонка] и даже разрыв церебральной аневризмы [раздувающийся кровеносный сосуд в головном мозге]", — пишут авторы статьи.

Ранее Фокус сообщал, что 10-летняя школьница вышла замуж за несколько дней до смерти. Несмотря на надежды ее родных на то, что девочке удастся победить смертельную болезнь, в июне этого года они получили ужасное известие о том, что ей осталось жить совсем не много.

Также стало известно, что женщина более года выдавала себя за врача. Мария Макберни занималась выдачей рецептов и выдавала себя за медицинского работника на протяжении более года. Женщина использовала в качестве прикрытия имя и лицензию своей родственницы.