Ветеринары были ошеломлены: кот постоянно чихал в течение двух недель (фото)

Кот чихал две недели, кот, домашнее животное, трава застряла в носу кота, растение в носу животного, ветеринары
Кот по кличке Лео чихал в течение двух недель | Фото: SWNS

Работники ветеринарной клиники обнаружили, что сильное чихание было вызвано тоненьким растением длиной 10 см, которое мешало дышать домашнему животному.

6-летний кот по кличке Лео страдал от приступов чихания в течение двух недель, пока ветеринары не обнаружили, что у него в носу что-то застряло. Об этом пишет Daily Star.

Хозяева домашнего животного сильно волновались за своего любимчика, поэтому решили отвезти его на прием к ветеринару. Осмотр показал, что в носу у кота застряла травинка.

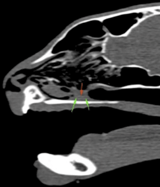
Ветеринары были удивлены после того, как обнаружили, что сильное чихание было вызвано тоненьким растением длиной 10 см. Рентген подтвердил, что травинка заблокировала ноздрю животного.

"Бедный Лео непрерывно чихал в течение двух недель, что причиняло ему дискомфорт и приводило к инфекциям", — сказал его хозяин Джош из Англии.

Відео дня
Кот чихал две недели, кот, домашнее животное, трава застряла в носу кота, растение в носу животного, ветеринары, рентген
Ренгтен подтвердил, что травинка заблокировала ноздрю животного
Фото: SWNS

Интерну Валентине Силич пришлось дать коту успокоительное и с помощью щипцов аккуратно вытащить травинку из его носа.

"Нам пришлось использовать компьютерную томографию и эндоскоп, представляющий собой длинную гибкую камеру, чтобы полностью увидеть, что происходит, поскольку в левой носовой полости была густая слизь, а также наблюдался отек мягких тканей. Когда мы обнаружили, что это была травинка, мы удалили ее с помощью специальных щипцов, и я рада сообщить, что Лео хорошо восстановился и теперь наслаждается дополнительными лакомствами и прогулками дома", — сказала она.

Кот чихал две недели, кот, домашнее животное, трава застряла в носу кота, растение в носу животного, ветеринары, ручка и травинка,
Травинку достали из носа специальными щипцами
Фото: SWNS

Это уже не первый раз, когда невезучий Лео страдает от подобных проблем: два года назад ему в нос попала трава. К счастью, в тот раз она торчала у него из носа, поэтому ее аккуратно убрали рукой.

Ранее Фокус сообщал, что женщина подружилась с ядовитой змеей, которая живет в ее машине. Лиза Курнелис учится сосуществовать со змеей в своем автомобиле, поскольку рептилия не покидает его. Первые четыре попытки достать опасное животное из машины не увенчались успехом.

Также стало известно, что мужчина нашел в своем жилье "инопланетного" жука. Насекомое оказалось не ядовитым, но оно может оставить глубокую рану.