Разделы
Материалы

Полезный перекус. Ученые разработали диету, которая способствует уничтожению рака

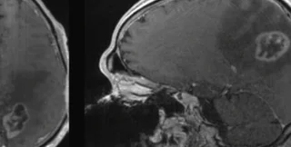
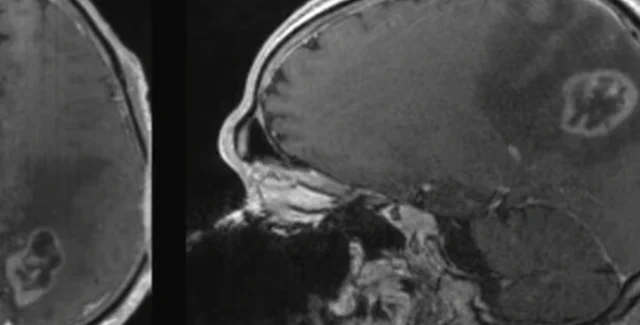
МРТ-изображение глиобластомы | Фото: Dominique Higgins, MD, PhD

Диета уже была протестирована на мышах и показала ошеломительно хорошие результаты, теперь ожидается проведение испытаний на людях для подтверждения ее эффективности.

Глиобластома является невероятно агрессивной, распространенной и смертельной формой рака мозга, на ее долю приходится 15% смертей. Стараясь найти эффективный способ ее лечения, ученые из Школы медицины Университета Северной Каролины (УСК) убрали определенные аминокислоты из питания подопытных мышей и обнаружили, что ферроптоз, являющий собой форму некроза, при которой в клетке накапливаются перекиси липидов, запустил смерть разрушительных клеток болезни. Более того, мыши соблюдавшие эту диету были гораздо более восприимчивы к лекарственным препаратам, которые так же запускали процесс смерти клеток рака, что сделало данное открытие невероятно интересным с точки зрения нахождения потенциального источника для борьбы с этой смертельной болезнью, пишет New Atlas.

В Фокус. Технологии появился свой Telegram-канал. Подписывайтесь, чтобы не пропускать самые свежие и интересные новости из мира науки!

Гибель клеток в нашем теле происходит постоянно. Это обыденное, рутинное событие внутри нашего организма и является частью его работы. Сложные процессы его функционирования настолько откалиброваны за время нашего существования, что есть даже процесс, называемый апоптозом, который отвечает за переработку и реабсорбацию нашим организмом полезных элементов из аномальных или ненужных клеток. Однако рак часто прибегает к блокировке этого процесса в своих клетках, дабы одурачить наш организм и свести его возможность очиститься от нежеланных элементов, позволяя им продолжать бесконтрольно и хаотично размножаться внутри. Такое размножение нарушает многие процессы внутри нашего неимоверно сложного, и в то же хрупкого организма, приводя к серьезным проблемам со здоровьем. Ферроптоз открыли относительно недавно, но он является многообещающим процессом в качестве альтернативного способа умерщвления клеток рака. Железо играет ключевую роль в процессе этого потенциального инструмента борьбы с недугом.

В статье, которую опубликовали ученые, говорится о том, что они выяснили, что клетки глиобластомы особенно подвержены гибели именно от ферроптоза. Они заявили, что это открытие невероятно значимо, так как глиобластома 100% фатальна для больного и не имеет способов лечения. Так же, из-за своей невероятно агрессивной натуры, в среднем она не оставляет больным больше 16 месяцев перед тем как забрать их жизнь.

Исследование ученых показало, что диета с низким содержанием цистеина и метионина, двух аминокислот серы, может увеличить вероятность ферроптоза и гибели раковых клеток при глиобластоме. Цистеин содержится в цельном зерне, говядине, яйцах и мясе птицы, а метионин – в бразильских орехах, рыбе, свинине, говядине, яйцах и мясе птицы. Ведущий исследователь УСК Доминик Хиггинс планирует изучить, будут ли у пациентов с глиобластомой, получающих ограниченную диету, такие же результаты, как у мышей, участвовавших в исследовании.

Для этого Хиггинс и его коллеги планируют провести исследование на людях, в ходе которого пациенты с глиобластомой будут переведены на ограниченную диету до операции по удалению опухоли. Затем исследователи проанализируют опухоли после операции, чтобы определить влияние диеты. Однако Хиггинс подчеркивает важность соблюдения сбалансированной диеты, отвечающей энергетическим потребностям больных раком, которые отличаются от обычных пациентов.

Ранее Фокус писал про полезное ГМО. Ученые научили лимфоциты бороться с раком.