Разделы
Материалы

Скрываются в глубинах и любят азот. Ученые обнаружили новый вид загадочных бактерий в океане (фото)

Тая Китова
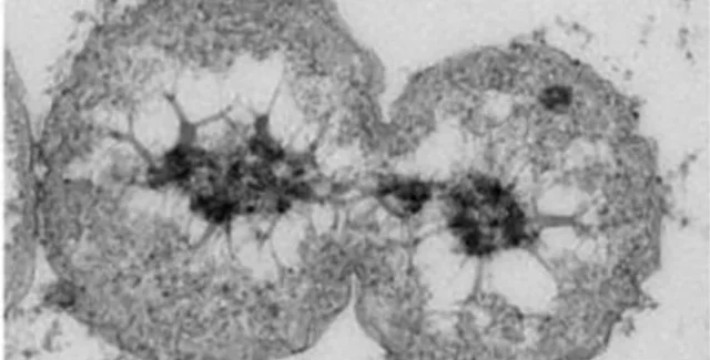
Новые виды бактерий размножаются | Фото: Zheng et al., eLife, 2023

Исследователи изучали образцы отложений из глубин океана, когда обнаружили уникальный вид морских бактерий — они расширяют понимание глубоководных условий и микробиологии.

Ученые из Китайской академии наук изучали глубоководные океанические отложения, когда наткнулись на удивительные и загадочные образцы не виданных ранее бактерий. Исследователи вырастили бактерии в лаборатории, используя осадок из холодного просачивания — специфической лужи богатой питательными веществами жидкости и грязи на дне океана, пишет Science Alert.

Новый вид морских бактерий был назван Poriferisphaera hetertotropicis. Известно, что он принадлежит к типу бактерий, которые недостаточно изучены, хотя и встречаются буквально по всему миру, от озер до почв, и играют решающую роль в переработке углерода и азота.

У Фокус. Технологии появился свой Telegram-канал. Подписывайтесь, чтобы не пропускать самые свежие и захватывающие новости из мира науки!

По словам соавтора исследования, микробиолога Рикуана Чжэна, большинство бактерий Planctomycetes были выделены и использованием питательной среды с низким содержанием питательных веществ. Поэтому в ходе исследования ученые решили проверить, позволит ли использование богатой питательными веществами среды культивировать и дополнительно охарактеризовать членов этого еще весьма малоизученного семейства.

Чжэн с коллегами моделировали в лаборатории глубоководные условия и обнаружили, что новый вид бактерий, штамм обозначенный как ZRK32, росли быстрее, чем другие культивируемые бактерии, и размножались иначе. Исследователи обнаружили, что они использовали механизм почкования, где родительские клетки развивают почки, которые затем становятся их потомками — подобный способ размножения ранее не наблюдался у планктомицетов. Исследователи предполагают, что это может быть признаком необычных новых условий при которых и обитает этот новый вид.

Знакомьтесь: Poriferisphaera hetertotropicis
Фото: Zheng et al., eLife, 2023

Кроме того, ученые считают, что новый вид бактерий уникальным образом взаимодействует с типами азота и азотным циклом, а также живет с типом бактериофага, помогающим ему перерабатывать азот. Авторы исследования полагают, что полученные ими данные смогут повлиять на понимание учеными химических процессов, которые происходят глубоко од поверхностью океана.

По словам другого соавтора исследования, микробиолога Чаоминя Сунь, результаты их анализа подтвердили, что штамм ZRK32 является новым видом, который лучше всего растет богатой питательными веществами среде и выделяет бактериофаг в присутствии азота. По сути, он представляет собой бактериофаг, который живет внутри хозяина, но не убивает его.

В дальнейших исследованиях ученые планируют изучить, как новый вид бактерий взаимодействует с другими себе подобными, а также какое влияние он оказывает на окружающую среду в океане.

Ранее Фокус писал о том, что у берегов Карибского моря неожиданно всплыла акула, веками скрывающаяся в глубине.