В сети еженедельно распространяют от трех до восьми фейковых видео, в которых говорится о якобы подготовке к террористическим атакам. В своих видео пропагандисты используют логотипы американских и французских спецслужб.
-
-
Завтра лимиты на свет круглосуточно будут действовать по всей территории Украины. В Киеве, Киевской, Одесской, и Донецкой областях запланированы стабилизационные отключения.
-
В Швейцарию на Глобальный саммит мира поедет вице-президент США Камала Харрис и советник по вопросам нацбезопасности президента Джейк Салливан.
-
В Министерстве образования заявили, что не планируют увеличивать количество мест на обучение. В ведомстве считают, что образование не должно быть способом избегания конституционного долга по защите страны.
-
По словам нардепа Гончаренко, бронированию от мобилизации будут подлежать только 50% работников ГСЧС. На сайте Кабмина петиция о броне для всего личного состава пожарной охраны и службы чрезвычайных ситуаций набрала необходимых 25 тысяч подписей.
-
В антикоррупционном ведомстве причин увольнения не назвали. До работы в НАПК Сытник 7 лет возглавлял Национальное антикоррупционное бюро.
-
Дональд Трамп сокращает финансовый разрыв в сборе средств на предвыборную кампанию с действующим президентом США Джо Байденом. Почти треть доноров на онлайн-платформе были новичками.
-
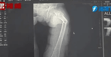
Пациент признался врачам, что чрезмерно потребляет сладкие газированные напитки, плохо питается и ведет малоподвижный образ жизни. Результаты анализов плотности его костей соответствуют показателям 80-летнего мужчины.
-
Слова артиста, которые он сказал после выступления, не оценили авторы талант-шоу. Участнику не дали закончить мысль. Камеру перевели на ведущих, на лицах которых слегка прочитывалась растерянность.
-
В "Укрэнерго" сообщили, что ограничения будут действовать во всех областях с 01:00 до 05:00 и с 19:00 до 00:00. При превышении лимитов будут введены графики отключений.