Врачи провели первую в мире пересадку легких от живого донора пациенту с COVID-19 (видео)

операция, трансплантация, врачи, операционная
Операция длилась 11 часов, ее проводила бригада из 30 человек | Фото: Скриншот видео

Часть своих легких женщине отдали ее муж и сын. Без их помощи она бы не смогла жить, потому что ее собственные легкие были необратимо повреждены коронавирусом.

В больнице Киотского университета группа из 30 человек во главе с доктором Хироши Датэ женщине, зараженной коронавирусом, пересадили легкие, часть которых ей пожертвовали сын и супруг, передает The Daily Mail.

Врачи взяли ткань из здоровых легких ее родственников-доноров, чтобы заменить части поврежденных легких пациентки. По протоколу лечения, в случае трансплантации от живого донора требуются два донора. Это первая в мире трансплантация этого органа от живого донора пациенту с серьезным повреждением легких от Covid-19. Операция длилась 11 часов и прошла успешно, и жительница западного региона Японии Кансай идет на поправку.

Відео дня
операция, легкие, трансплантация
Операция длилась 11 часов
Фото: The Daily Mail

"Мы продемонстрировали, что теперь у нас есть возможность трансплантации легких (от живых доноров). Я думаю, что это лечение, которое дает надежду пациентам с тяжелым поражением легких от Covid-19", – заявил пресс-конференции в четверг доктор Хироши Датэ, торакальный хирург больницы, проводивший операцию.

Женщина заразилась Covid-19 в конце прошлого года, и у нее возникли проблемы с дыханием, которые очень скоро усугубились. Более трех месяцев она находилась под аппаратом ИВЛ, поскольку ее легкие были сильно повреждены. Даже после того, как вирус вылечили, легкие пациентки перестали функционировать и не поддавались лечению, а это означает, что единственным оставшимся вариантом для нее была трансплантация. Ее муж пожертвовал часть своего левого легкого, а сын — часть правого.

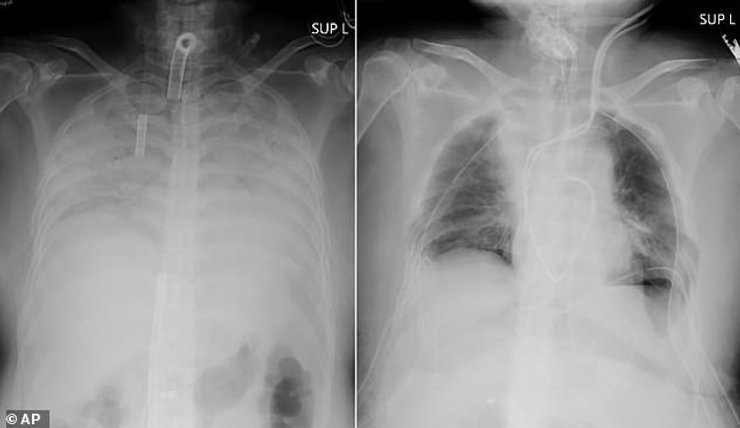
рентген, снимок, поражение, легкие
Рентгеновский снимок показал масштабы поражения легких пациентки
Фото: Dailymail.co.uk

По прогнозам врачей, она сможет выйти из больницы где-то через два месяца, а к нормальной жизни вернется через три месяца.

По данным Johns Hopkins Medicine, как и другие респираторные заболевания, Covid-19 может вызывать легочные осложнения, такие как пневмония и, в наиболее тяжелых случаях – острый респираторный дистресс-синдром или ОРДС и даже может привести к сепсису.

Когда кто-то заболевает пневмонией, воздушные мешочки в легких, называемые альвеолами, наполняются жидкостью, ограничивая их способность поглощать кислород, вызывая одышку, кашель и другие симптомы. Это может привести к тому, что людям потребуется стационарное лечение с применением кислорода или аппарата искусственной вентиляции легких.

Даже после того, как инфекция Covid-19 уйдет, затрудненное дыхание может сохраняться в течение нескольких месяцев.

Напомним, что в феврале этого года в США произошла обратная ситуация, когда женщине пересадили легкие, в которых был вирус Covid-19. Отмечается, что инфекцию выявили уже после того, как состояние пациентки после, казалось бы, успешной операции ухудшилось.