Жители Калифорнии массово заражались болезнью легионеров после джакузи в спа-салоне, — СМИ

Zen Day Spa в городе Ричмонд
Zen Day Spa в городе Ричмонд | Фото: Google Maps

Большинство контактирующих с бактерией Legionella не заболеют болезнью легионеров, хотя у некоторых может возникнуть легкая форма — Понтиакская лихорадка. Но, развиваясь, бактерия становится смертельно опасной.

Cпа-салон в северной части Калифорнии мог стать источником смертельной вспышки болезни легионеров. В минувшие выходные местное управление по вопросам здравоохранения сообщило о трех случаях инфекционного заболевания, два из которых были смертельными. Об этом сообщает Gizmodo

Погибшие недавно посещали Zen Day Spa в городе Ричмонд. Сейчас заведение закрыто, а власти инициировали расследование.

Болезнь легионеров — разновидность пневмонии, которую вызывают бактерии Legionella, повсеместно встречающиеся в пресноводной среде. Но для заражения нужны определенные условия. Иногда бактерии попадают внутрь систем кондиционирования воздуха или других искусственных систем водоснабжения, таких как джакузи.

Відео дня

Они также массово распространяются по воздуху, превращаться в аэрозоль. Иногда можно заболеть, выпив воду, содержащую бактерии.

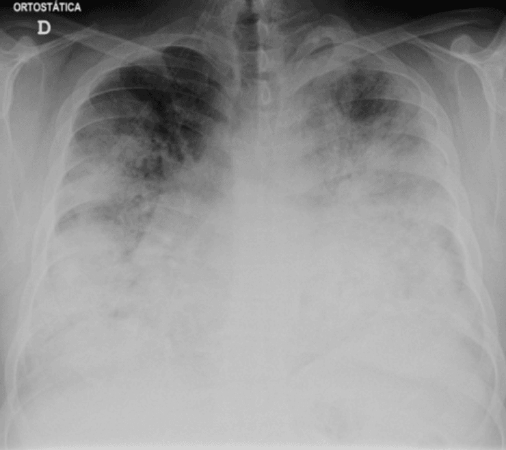
Рентген грудной клетки тяжелого случая легионеллеза при поступлении в отделение неотложной помощи
Рентген грудной клетки тяжелого случая легионеллеза при поступлении в отделение неотложной помощи

В обоих недавних смертельных случаях общим было то, что жертвам становилось плохо спустя несколько дней после посещения заведения Zen Day Spa. Сообщалось еще об одном пострадавшем, который пользовался джакузи в упомянутом салоне, но впоследствии его состояние улучшилось.

Местные сотрудники департамента здравоохранения провели инспекции и обнаружили, что документов, которые бы предусматривали наличие бассейна или спа, не было у организации не оказалось. Образцы воды взяли на анализы.

Большинство контактирующих с бактерией Legionella не заболеют болезнью легионеров, хотя у некоторых может возникнуть легкая форма — Понтиакская лихорадка. Но, развиваясь, бактерия становится смертельно опасной. Она лечится антибиотиками, но все же по статистике каждый десятый может погибнуть. Людей с ослабленным иммунитетом, старше 50 лет или курильщиков выделяют в группу риска.

Напомним, что бездомная кошка заразила мужчину неизвестной науке инфекцией.

Также сообщалось, что дерматолог назвала три инфекции, которые можно подхватить в бассейне.