Загадка в полости рта. Стоматологи рассказали, почему у людей есть зубы мудрости

зубы, зубы мудрости
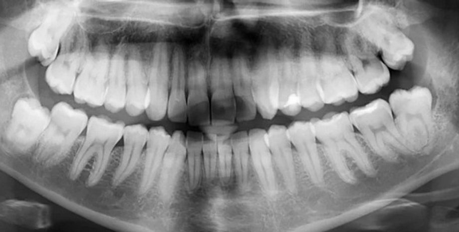
У 25% людей на Земле отсутствует хотя бы один зуб мудрости | Фото: ScienceAlert

Исследователи полагают, что они, вероятно, достались нам от древних предков, живших на Земле около 4 миллионов лет назад.

Зубы мудрости представляют собой третий набор коренных зубов, расположенный в самой задней части человеческого рта. Они выглядят также, как и другие моляры, однако иногда могут быть меньшего размера, пишет IFLScience.

Эти зубы получили свое название из-за того, что появляются последними из 32 постоянных зубов, как правило, это происходит в возрасте от 17 до 25 лет, когда человек становится старше и мудрее. Однако известно, что далеко не у всех людей на планете появляются все четыре зуба мудрости — статистика свидетельствует о том, что четверть людей на Земле лишены хотя бы одного из этих зубов.

Відео дня

У Фокус. Технологии появился свой Telegram-канал. Подписывайтесь, чтобы не пропускать самые свежие и захватывающие новости из мира науки!

По словам ученых их Университета Питтсбурга, не секрет, что люди имеют общие черты со своими далекими родственниками — приматами. Зубы мудрости есть у обезьян, горилл и шимпанзе. Более ранние исследования уже показали, что около 3-4 миллионов лет назад на планете жили далекие предки людей "вид Люси", которые, так же как и мы сегодня, обладали зубами мудрости. Их челюсти и зубы были немного больше и толще наших — ученые предполагают, что это связано с их диетой, в основном состоящей из сырого мяса и растений.

В то же время современная еда намного мягче той, что употребляли наши предки. Это обусловлено несколькими факторами, в том числе: сельским хозяйством, хранением продуктов и приготовлением пищи. Мягкую пищу проще пережевывать, а потому у людей попросту отпала необходимость в невероятно сильных челюстях, а также больших и острых зубах. В результате миллионов лет эволюции третьи моляры попросту перестали быть столь важными для человека.

По словам профессора стоматологии Ариадны Летры, ученые до сих пор не уверенны, почему все произошло именно так, однако предполагает, что наличие или отсутствие коренных зубов у людей связано с генами, которые мы унаследовали от своих родителей. В то же время некоторые ученые даже утверждают, что отсутствие коренных зубов сегодня является преимуществом для современных людей.

Также известно, что некоторые люди страдают при появлении зубов мудрости, а потому избавляются от них. Впрочем, в большинстве случаев третьи маляры вовсе не нуждаются в удалении, если они правильно расположены и здоровы.

Ранее Фокус писал о том, почему зубы мудрости так сильно болят, и зачем они вообще нужны.