Розділи
Матеріали

Покритий волоссям та шкірою. У Мексиці народилася унікальна дівчинка із 6-сантиметровим хвостом (фото)

Малятко з'явилося на світ із 6-сантиметровим хвостом | Фото: Jam Press

Це явище вкрай рідкісне — медицині відомо менш як 200 таких випадків.

Людські "хвости" поділяються на дві категорії — "псевдохвости" та "справжні". Перші спричинені проблемами з хребтом та пухлинами й зустрічаються частіше, проте "справжні хвости" складаються з м'язів, кровоносних судин і нервів і зустрічаються вкрай рідко — загалом медики зафіксували менш як 200 випадків, пише Daily Mail.

Дослідники припускають, що всі діти розвиваються в утробі матері з ембріональних хвостів, пізніше вони всмоктуються в тіло, утворюючи куприк. Однак у поодиноких випадках цього не відбувається і малюки з'являються на світ з відростками.

У Фокус. Технології з'явився свій Telegram-канал. Підписуйтесь, щоб не пропускати найсвіжіші та найзахопливіші новини зі світу науки!

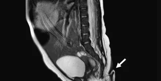
Медики на чолі з доктором Хосуе Руеда вважають, що дитина стала першою дитиною, що народилася з хвостом, у Мексиці. Крихітка з'явилася на світ у лікарні в Нуево-Леоні в результаті кесаревого розтину. Батьки дівчинки були здорові, проте медики швидко помітили 5,7-сантиметровий хвіст, який був м'яким із загостреним кінчиком, покритим шкірою та тонкими волосками.

У діаметрі "хвіст" був лише від 3 до 5 мм
Фото: Jam Press

Співробітники лікарні провели додаткове сканування та виявили, що наріст не є наслідком спинальної дизрафії — проблема з хребтом, за якої він не формується належно і може призвести до появи хвостового наросту в нижній частині хребта.

Дослідники зазначають, що малеча народилася доношеною, здоровою та проблем під час вагітності не спостерігалося. У пари вже був старший син і він був здоровим.

Медики зазначають, що в діаметрі "хвіст" був лише від 3 до 5 мм, був покритий шкірою та тонкими волосками. Цікаво, що лікарі могли пасивно рухати "хвіст", не викликаючи у дівчинки болю, проте мимовільних рухів відростка не спостерігалося. Крім того, медики провели тест на реакцію, "вколовши" відросток голкою, в цей момент новонароджена заплакала.

Під час досліджень медики провели низку тестів мозку, серця, слуху та провели низку аналізів. Ніщо не вказувало на проблеми зі здоров'ям. Після цього малечу з мамою виписали з лікарень. Через два місяці лікарі провели ще один огляд — дівчинка чудово розвивалася, мала здорову вагу та зріст, а її "хвіст" виріс на 0,8 см.

Відросток видалили під місцевою анестезією
Фото: Jam Press

Після цього хірурги провели невелику операцію під місцевою анестезією, щоб видалити відросток. Операція пройшла успішно і дитину виписали з лікарні того ж дня.

Дослідники продовжили вивчати "хвіст". Аналіз показав, що він складається з м'яких тканин, артерій, вен та пучків нервів. Загалом у світі зареєстровано лише 195 випадків людських "справжніх хвостів" (до 2017 року).

Цікаво, що найчастіше "хвости" зустрічаються у хлопчиків, а найдовшим виявився 20-сантиметровий відросток. Крім того, дослідники зазначають, що у кожного 17 малюків з "хвостом" спостерігалися порушення росту головного мозку та черепа.

Зазначимо, що вчені досі не знають, чим спричинена поява "хвостів" у дітей. Як правило, їх помічають лише після народження малюка, а зустрічаються вони лише один раз у сім'ї. У деяких релігіях "людські хвости" також вважаються священними і поклоняються їм.

Раніше Фокус писав про малюків, які постаріли, не встигнувши народитися. У США близнюки-рекордсмени народилися лише через 30 років.