Розділи
Матеріали

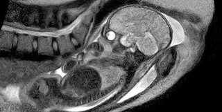
З витріщеними очима та диявольською посмішкою: деталізовані МРТ-скани плода до смерті налякали мережу

Скани МРТ немовлят виглядають дуже лякаюче | Фото: Twitter

Жахливі знімки можуть здатися кадрами фантастичного фільму про прибульців або демонів, але дослідники запевняють, що вони реальні.

Ця історія почалася у 2021 році, саме тоді жахливі МРТ-скани вперше потрапили до мережі та викликали ажіотаж. Пізніше про цю історію всі забули, але тепер знімки знову опинилися у мережі й цього разу не на жарт налякали громадськість, пише Daily Mail.

Дивлячись на кадри, легко подумати, що вони взяті з якогось голлівудського науково-фантастичного фільму про прибульців, а можливо навіть фільму жахів. Однак дослідники непохитні: на жаль, скани справжні — саме так виглядає людське немовля в утробі матері, якщо дивитися на нього через МРТ.

У Фокус. Технології з'явився свій Telegram-канал. Підписуйтесь, щоб не пропускати найсвіжіші та найзахопливіші новини зі світу науки!

Зазначимо, що МРТ відрізняється від УЗД і потрібно лише в тому випадку, якщо на те є медичні показники матері або дитини. Наприклад, за даними співробітників лікарні Грейт-Ормонд-Стріт, МРТ може допомогти виявити вади розвитку шиї, грудної клітини, черевної порожнини та хребта у малюка ще в утробі матері.

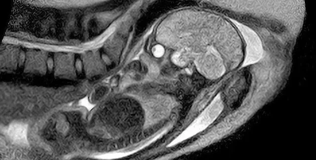
Скани МРТ немовлят виглядають дуже лякаюче
Фото: Twitter

Однак МРТ пропонує жахливо деталізовані чорно-білі зображення, які часом ставлять батьків у глухий кут. Якщо ви думали, що на скані МРТ малюк буде дуже чарівним, на жаль, це зовсім не відповідає дійсності.

Вперше десятки сканів МРТ були злиті у мережу у 2021 році, коли вони були виявлені в межах проєкту, який підтримує Гарвардська медична школа. З того часу вони час від часу спливають знову і знову, не перестаючи дивувати людей.

Скани МРТ немовлят виглядають дуже лякаюче
Фото: Twitter

На думку одного з користувачів соціальних мереж, МРТ не рекомендується робити під час вагітності, щоб батьки не злякалися та не зрозуміли, що "виношують демонів кошмарів". Інші порівнюють чорно-білі знімки немовлят з кадрами фільмів Тіма Бертона про прибульців, а треті взагалі називають малюків не інакше як "вилупком диявола".

Втім, поки одні травмовані переглядами таких зображень, інші, схоже, знаходять їх дуже кумедними. Користувачі також припустили, що знімки насправді можуть бути фейками, проте дослідники провели перевірку та підтвердили їхню справжність: мінімум два з них були опубліковані Гарвардською медичною школою.

Скани МРТ немовлят виглядають дуже лякаюче
Фото: Twitter

Вчені розповіли, що МРТ використовує магнітні поля та радіохвилі для отримання докладних зображень внутрішньої частини тіла. Наші очі та мозок мають вищий рівень "сигналу" (радіохвиль), а тому виглядають яскравішими й виділяються на зображеннях. Інші частини тіла випромінюють нижчі рівні, а тому здаються темнішими.

Раніше Фокус писав про те, що харчові звички формуються ще в утробі: від моркви діти посміхаються, а від капусти кривляться.