Влюбленность длится четыре года

В Независимом университете Мехико недавно пришли к выводу, что влюбленность длится всего четыре года.

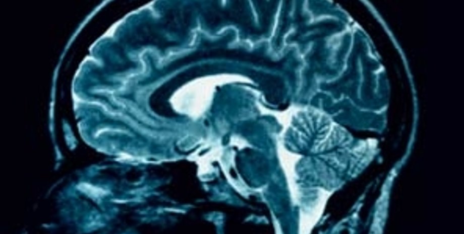
По результатам исследования профессора Хорхины Монтемайор Флорес, первая стадия любви сопровождается особыми химическими реакциями в мозге. При этом человек не может думать ни о чем, кроме объекта своих чувств. По словам ученых, подобное состояние свойственно тем, кто страдает обсессивным маниакальным синдромом (ОМС), при котором могут возникать навязчивые идеи – к примеру, о микробах или о злых собаках. Как и у больного ОМС, у влюбленного снижен уровень гормона серотонина, регулирующего настроение: стало быть, высока подверженность депрессиям. Коллеги мексиканцев, итальянские ученые, подсчитали, что у студентов, признающих себя влюбленными, содержание серотонина на 40% ниже, чем у остальных. Потому-то природа и ограничила такие чувства сроком в 4 года, после которых наступает более спокойный период любви – привязанность.

Відео дня

К Женскому дню, который отмечают в пору весеннего воспалени чувств и гормонального буйства, Фокус выступает с обзором новостей с фронтов научных изысканий в области М + Ж.