Малярийный паразит появился сперва у обезьян, и только 5 тыс. лет назад заразил людей

Малярия, малярийный комар
Малярийный паразит появился сначала у обезьян, и только 5 тысяч лет назад начал заражать людей | Фото: Sci news

Ученые пришли к выводу, что в результате мутации паразит, который вызывает малярию стал опасным для людей не так давно.

Малярия – это опасное заболевание, которое передаются людям через укусы комаров. Они несут в себе один из 6 видов малярийных паразитов. Ученые из Эдинбургского университета изучили паразита Plasmodium malariae и выяснили, что он изначально был паразитом, который заражал только обезьян в Африке. Но 5 тысяч лет назад мутировал, прежде чем начал заражать малярией людей, сообщает Daily Mail.

"Из 6 малярийных паразитов, которые вызывают малярию у человека, P. malariae один из наименее изученных. Наше исследование поможет понять смогут ли малярийные паразиты, которые заражают обезьян и сейчас мутировать, чтобы заражать людей", — говорит Линдси Плендерлейт из Эдинбургского университета.

Відео дня

Ученые давно пытались выяснить, как давно малярийные паразиты стали причиной появления малярии у людей.

Клетка, Plasmodium malariae
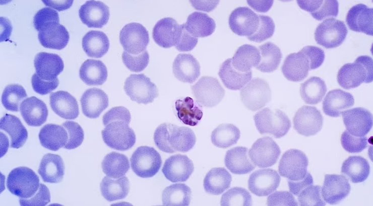
Исследователи из Эдинбургского университета изучили паразита Plasmodium malariae — одного из шести видов, распространяющих малярию среди людей. На этой микрофотографии показана зрелая клетка Plasmodium malariae внутри инфицированного эритроцита
Фото: Daily Mail

"Современные люди появились около 200 тысяч лет назад в Африке. Потом они распространились по всему миру от 100 до 70 тысяч лет назад. Поэтому цифра 5 тысяч лет назад – это совсем недавно для человеческой истории", — говорит Пол Шарп из Эдинбургского университета.

Уже хорошо известно, что малярию у человека вызывают паразиты рода Plasmodium. Они передаются человеку через укусы комаров. В результате заражения у человека повышается температура и появляются похожие с гриппом симптомы. В тяжелых случаях у человека может появится желтуха, судороги, люди могут впадать в кому и даже умереть.

Малярийный комар
Хорошо известно, что малярию вызывают паразиты рода Plasmodium. Паразит Plasmodium передается человеку через укусы инфицированных комаров рода Anopheles (на фото)
Фото: Daily Mail

По словам ученых, самым смертоносным из 6 малярийных паразитов является P. falciparum. В то же время P. malariae вызывает самые легкие формы малярии.

"Но этот паразит может долго жить в организме человека, годы и даже десятилетия после заражения, и вызвать хронические расстройства", — говорит Плендерлейт.

Для нового исследования ученые взяли образцы ДНК зараженных P. malariae шимпанзе. В результате было обнаружено, что что на самом деле существует три различных вида паразитов, которые когда-то считались одним видом — P. malariae.

P. malariae заражает в основном людей, тогда как два других, которые назвали P. celatum и P. praemalariae заражают человекоподобных обезьян. Первый вид лишь отдаленно напоминает паразита P. malariae, а второй является его ближайшим родственником.

Ученые выдвинули гипотезу, что именно 5 тысяч лет назад малярийные паразиты эволюционировали и появился P. malariae, который стал причиной появления малярии у человека.

"Малярийные паразиты обезьян не могут заражать людей, поэтому мы считаем, что произошла мутация, которая позволила распространять малярию в человеческом обществе", — говорит Шарп.

По словам ученого, первый человек, которого укусил комар, получил в организм малярийных паразитов, которые содержали небольшую часть генетического материла паразитов обезьян.

Напоминаем, что в легких человека ученые обнаружили тип клеток, неизвестный науке.