Жуткая головная боль. Ученые обнаружили у страдающих мигренью людей загадочные изменения в мозге

мозг, головной мозг, человек
Ученые обнаружили у страдающих мигренью людей загадочные изменения в мозге | Фото: ScienceAlert

Новое исследование предлагает ключ к разгадке причин появления мигрени.

С помощью очень мощного аппарата МРТ американские ученые просканировали мозг людей, которые страдают жуткой головной болью. Их исследование показало, что периваскулярные пространства (заполненные жидкостью пространства вокруг кровеносных сосудов головного мозга) очень увеличены у людей, которые страдают от постоянной и периодической мигрени, пишет ScienceAlert.

У Фокус. Технологии появился свой Telegram-канал. Подписывайтесь, чтобы не пропускать самые свежие и захватывающие новости из мира науки!

"Мы пока не установили точную связь между значительными изменениями в периваскулярных пространствах области мозга, которая называется полуовальным центром, и развитием мигрени, но это дает шанс на установление причин появления жутких головных болей. Наши результаты показывают, что такие изменения в мозге людей происходят и у тех, кто постоянно страдает от мигрени, и у тех, у кого она проявляется периодически. Но точно могу сказать, что мы впервые обнаружили такие изменения", — говорит Уилсон Сюй из Университета Южной Калифорнии в Лос-Анджелесе.

Відео дня

До сих пор ученые точно не знают причин появления жуткой головной боли, которая называется мигренью. У тех, кто страдает от этой болезни часто бывают головокружения, тошнота, могут возникать нарушения зрения. И от этой проблемы, по оценкам ученых, страдают примерно 10% населения планеты. У некоторых эта головная боль существует постоянно, а у других она проявляется периодически.

головная боль, мигрень, женщина
До сих пор ученые точно не знают причин появления жуткой головной боли, которая называется мигренью. У тех, кто страдает от этой болезни часто бывают головокружения, тошнота, могут возникать нарушения зрения. И от этой проблемы, по оценкам ученых, страдают примерно 10% населения планеты. У некоторых эта головная боль существует постоянно, а у других она проявляется периодически
Фото: The Conversation

Сюй и его коллеги заинтересовались периваскулярными пространствами в полуовальном центре, центральной области белого вещества мозга, которая расположена прямо под корой головного мозга. Функция этих пространств до конца не изучена, но они играют важную роль в выведении отходов в головном мозге. То, что эти пространства увеличиваются может говорить о серьезных нарушениях в работе головного мозга и возможно способствуют развитию мигрени, считают ученые.

В рамках нового исследования ученые просканировали с помощью мощного аппарата МРТ мозг 20 добровольцев, которые страдают, как постоянной, так и периодической мигренью. Ни один из них не имел других проблем связных с работой мозга.

мозг, головной мозг, человек
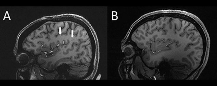
Стрелки показывают увеличенные периваскулярные пространства в головном мозге человека с хронической мигренью (слева) по сравнению с мозгом здорового человека (справа)
Фото: ScienceAlert

Результаты исследования показали, что периваскулярные пространства в мозге этих людей были значительно увеличены по сравнению с такими же пространствами в мозге здоровых добровольцев, которые были контрольной группой в исследовании.

Также ученые обнаружили у страдающих мигренью сильные повреждения белого вещества мозга и исследователи считают, что расширение периваскулярных пространств может привести к развитию в будущем большего количества поврждений белого вещества.

Ученые пришли к выводу, что мигрень связана с проблемами с глимфатической системой, которая отвечает за удаление отходов в мозге и нервной системе. Для этого как раз и используются каналы в периваскулярных пространствах.

"Прямой связи с мигренью мы пока не установили, но нужно продолжать исследования, чтобы выяснить как изменения в микроскопических сосудах мозга и в кровоснабжении влияют на различные типы мигрени", — говорит Сюй.

Фокус уже писал, о том, что ученые представили еще одну возможную причину появления болезни Альцгеймера, которая является тяжелым заболеванием коры головного мозга человека.

Также Фокус писал о еще одной теории, объясняющей причины появление этой болезни у людей, и она отличается от вышеуказанного исследования.