Болезнь королей. Ученые нашли лекарство от одного из самых древних заболеваний

подагра, рисунок, нога
Фото: CC BY-SA

Исследователи Калифорнийского университета разработали новую молекулярную модель артрита, сосредоточив внимание на смазывающем суставы белке лубрицине.

Многие люди рассматривают подагру как болезнь из прошлого, похожую на рахит или цингу. Исторически это затрагивало богатых и королевских особ, в том числе таких фигур, как Бенджамин Франклин и Томас Джефферсон, пишет SciTechDaily.

У Фокус. Технологии появился свой Telegram-канал. Подписывайтесь, чтобы не пропускать самые свежие и захватывающие новости из мира науки!

Тем не менее, это все еще распространенное заболевание, затрагивающее более 10 миллионов человек в одних только в Соединенных Штатах. Несмотря на свою долгую историю, уходящую корнями в Древний Египет, подагра продолжает оставаться серьезной проблемой для здоровья.

Відео дня

Подагра является наиболее распространенной формой воспалительного артрита, при котором ураты (побочный продукт богатых пуринами продуктов, таких как мясо и алкоголь) накапливаются в организме и образуют игольчатые кристаллы в суставах и вокруг них, обычно начиная со стопы. Отложения кристаллов приводят к вспышкам сильной боли, отечности и болезненности суставов и могут прогрессировать до хронического повреждения суставов, что ограничивает подвижность пациентов и качество их жизни.

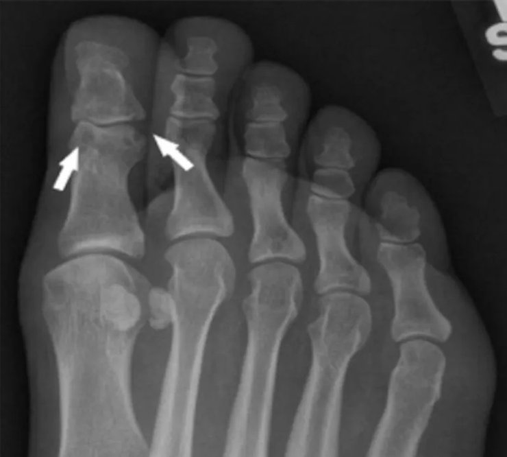
рентген стопы
На рентгенограмме стопы больного выявлены вдавленные эрозии суставов на большом пальце стопы, характерные для подагры.
Фото: UC San Diego Health Sciences

Избыток уратов, циркулирующих в крови, известный как гиперурикемия, долгое время считался основной причиной подагры, но, как это ни парадоксально, у большинства людей с высоким уровнем уратов заболевание не развивается. Фактически, бессимптомная гиперурикемия примерно в четыре раза более распространена, чем подагра. У пациентов с подагрой также обнаруживается загадочно более высокий уровень уратов в суставной жидкости по сравнению с их кровью. Таким образом, гиперурикемия не является единственным фактором, стимулирующим отложение кристаллов уратов в суставах. Так что же еще может быть причиной болезни?

В новом исследовании, международная группа определила новый молекулярный путь, который вызывает подагру и ее прогрессирование до эрозии тканей суставов. Полученные данные позиционируют лубрицин, белок, обнаруженный в суставной жидкости, как новую терапевтическую мишень как для профилактики, так и для лечения заболевания.

Ученые были заинтересованы в изучении генетических факторов, которые приводят не к высокому уровню циркулирующих уратов, а конкретно к их выработке и отложению кристаллов в суставах. Для этого они изучили редкий случай подагры, при котором у пациентки развились отложения кристаллов уратов и эрозии в суставах, но не было высокого уровня уратов в крови.

"Это естественное и чрезвычайно необычное расстройство предоставило уникальную возможность взглянуть на подагрический артрит по-другому и понять, какие молекулярные процессы способствуют заболеванию независимо от гиперурикемии", — сказал старший автор Роберт Теркельтауб, доктор медицинских наук, профессор школы Калифорнийского университета в Сан-Диего.

Используя секвенирование всего генома, секвенирование РНК и количественные протеомные методы, исследователи смогли идентифицировать основной молекулярный путь, который был нарушен у пациента, сосредоточившись на значительном снижении лубрицина. Муцинозный белок обеспечивает необходимую смазку и защиту суставных тканей и регулирует функцию определенного типа лейкоцитов, которые способствуют воспалению в суставе.

Дополнительные эксперименты подтвердили, что в здоровых условиях лубрицин подавляет секрецию уратов и ксантиноксидазы (фермента, вырабатывающего ураты) путем активации лейкоцитов, а также блокирует кристаллизацию уратов в суставе. Затем исследователи обследовали нескольких пациентов с распространенной формой подагры и подтвердили, что у них также был заметно снижен уровень лубрицина. Авторы предполагают, что на то, разовьется ли у пациента с гиперурикемией подагра, может влиять то, какие варианты генов у них есть для лубрицина и других молекул, которые контролируют его выработку или деградацию в суставе.

"Наши результаты показывают, что лубрицин может быть новым биологическим маркером для отслеживания риска развития подагры у пациентов, и что новые препараты для поддержания и повышения уровня лубрицина могут ограничивать заболеваемость и прогрессирование подагрического артрита", — сказал Теркельтауб.

Ранее Фокус рассказывал о том, безопасно ли хрустеть пальцами. Многим в детстве не раз запрещали хрустеть пальцами, говоря, что это может спровоцировать артрит. Действительно ли хруст суставов причиняет вред здоровью?