Розділи
Матеріали

Прорив століття. Створено автономні наносітки, здатні захоплювати та вбивати супербактерії

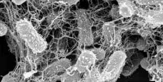
Зображення кишкової палички, що застрягла в наносітці, отримане за допомогою електронного скануючого мікроскопа | Фото: National University of Singapore

Вчені сподіваються, що наносітки стануть ключем до перемоги над резистентними до всіх антибіотиків супербактеріями, що викликають невиліковні версії звичайних хвороб.

Бактерії швидко розвивають стійкість до наших найкращих антибіотиків, що може призвести до настання нової "темної доби медицини", коли нині виліковні інфекції знову стануть смертельно небезпечними. Тепер вчені з Національного університету Сінгапуру (НУС) розробили "наносітки", що самозбираються, які можуть захоплювати і вбивати бактерії, пише New Atlas.

У Фокус. Технології з'явився свій Telegram-канал. Підписуйтесь, щоб не пропускати найсвіжіші та захопливі новини зі світу науки!

Виникаюча проблема супербактерій — це мікрокосмос еволюції. По суті, тиск навколишнього середовища, наприклад — вбивча сила антибіотиків, залишає після себе тільки ті бактерії, які мають природну стійкість до ліків. У міру зростання та поширення цих особин зрештою вся популяція набуває цієї ознаки, роблячи ліки неефективним. Цей процес повторюється протягом десятиліть із поколіннями антибіотиків, що змінюють один одного, але у нас все менше можливостей створювати нові ліки.

Поряд із розробкою нових ліків, вчені експериментують з альтернативними методами боротьби з бактеріями, в ідеалі з такими, до яких у них не може розвинутися стійкість. Це можуть бути освітлення, покриття, молекулярні свердла, отруєні стріли і рідкі металеві подрібнювачі. І це лише кілька найменувань концепцій прототипів для боротьби з супербактеріями, розробка яких ведеться вченими в гонці на виживання з непокірним убивцею.

Тепер дослідники НУС додають до цього арсеналу нову зброю. Вони розробили наносітки, які можуть самозбиратися у присутності певних бактерій, захоплюючи їх у пастку та роблячи їх більш уразливими для протимікробних молекул.

Команда розробила серію коротких пептидів, що складаються з 15-16 залишків, які можуть перебувати в сплячому стані доти, доки не виявлять певний тригер — дві молекули, які є ключовими компонентами мембран бактерій. Коли ці молекули з'являються, пептидні фрагменти прикріплюються до бактерій і починають рости в подовжені фібрили, які утворюють перехресні зв'язки з фібрилами, прикріпленими до інших бактерій. Незабаром утворюється великий заплутаний клубок, який утримує бактерії. Це, зі свого боку, не дає їм зростати та поширюватися. Клубок також може бути з'єднаний з іншими антимікробними молекулами, щоб покінчити з ними.

У процесі випробувань на мишах нанонети показали значну ефективність проти бактерій, стійких до колистину, одного з антибіотиків останнього резерву медицини. Важливо зазначити, що вони не виявили жодних ознак токсичності для мишей.

Ці наносітки не тільки природно вибіркові щодо супербактерій, але і пептиди, що входять до їх складу, можуть бути налаштовані на різні бактерії. Команда каже, що ця техніка показує великі перспективи як потенційну альтернативу антибіотикотерапії, але, звичайно, необхідно провести подальшу роботу.

Раніше Фокус писав про нову супербактерію, яку назвали на честь Кіану Рівза. Втім, актор вважає, що надзвичайно ефективну бактерію слід було б назвати на честь його персонажа Джона Віка.