Підтримайте нас

МИ В СОЦМЕРЕЖАХ:

Китайські вчені вперше успішно клонували макаку-резуса: чи будуть люди наступними (фото)

макака-резус, клон макака-резус, макака-резус клон
Фотографія макаки-резуса, клонованої соматичними клітинами, зроблена у віці 17 місяців | Фото: Nature Communications

Дослідникам уперше вдалося клонувати вид приматів, настільки близький до людини — дитинча "народилося" здоровим і прожило понад два роки.

Відтоді, як овечка Доллі стала першим клонованим ссавцем, минуло понад чверть століття, і тепер учені заявляють про новий прорив: їм нарешті вдалося успішно клонувати вид, відомий своєю близькістю до людини — макаку-резуса (Macaca mulatta), пише Daily Mail.

Китайські дослідники заявляють, що використовували у своєму експерименті соматичні клітини макаки-резуса — клітини тварин, відмінні від сперматозоїдів і яйцеклітин. У результаті їм вдалося створити генетично ідентичну копію. Відомо, що клон був абсолютно "здоровий" і прожив після свого народження в Пекіні понад два роки.

У Фокус. Технології з'явився свій Telegram-канал. Підписуйтесь, щоб не пропускати найсвіжіші та найзахопливіші новини зі світу науки!

Відео дня

Дослідження було проведене Цян Суном і його колегами з Університету Китайської академії наук у Пекіні. Команда зазначає, що клон макаки-резуса було створено з використанням методу, відомого як перенесення ядра соматичної клітини (SCNT). Однак експерти все ще виключають використання цього методу для клонування людей: занадто багато етичних питань і питань безпеки ще належить вирішити.

Зазначимо, що макака-резус представляє особливий інтерес для дослідників, оскільки цей вид приматів анатомічно і фізіологічно близький до людини. Крім того, макаки-резуси також широко використовуються в дослідження здоров'я людини.

клон макака резус
Здорова макака-резус (на фото) прожила понад два роки, на відміну від попередньої спроби клонувати цей вид
Фото: Qiang Sun

За словами команди, вони були здивовані, що раніше жодна макака-резус ще не була клонована з використанням методу перенесення ядра соматичної клітини. А тому вони вирішили це виправити і тепер заявляють про успішне закінчення експерименту. У результаті автори дослідження представили успішну стратегію клонування приматів.

Метод SCNT передбачає використання соматичної клітини, наприклад клітини шкіри, ДНК якої потім переноситься в яйцеклітину з видаленим ядром. Відомо, що соматичні клітини містять генетичну інформацію про те, як влаштований організм, але, на жаль, не можуть дати початок новому організму. Однак ця проблема вирішується за допомогою перенесення ДНК соматичної клітини в яйцеклітину. У разі успіху процес призведе до повного перепрограмування генетичного матеріалу в ядрі, що дасть змогу яйцеклітині почати поділ і формування клонованого ембріона.

Саме цей метод раніше призвів до успішного клонування різних ссавців, зокрема й овечки Доллі в 1996 році. У 2017 році цей метод використовували для створення макак-крабоїдів (Macaca fascicleis). До слова, клонування макаки-резуса було проведено тією ж компанією, яка проводила дослідження 2017 року.

клонування ембріон
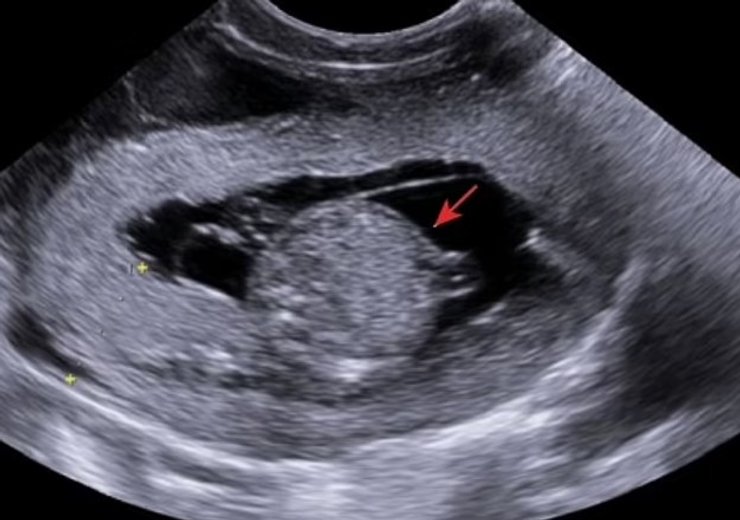
Ультразвукове дослідження плода-резуса на 60-й день вагітності
Фото: Nature Communications

Водночас ефективність клонування більшості видів ссавців все ще залишається надзвичайно низькою, а також пов'язана з високою смертністю в утробі матері або незабаром після народження. Наприклад, попередня спроба клонувати макаку-резуса була зроблена ще 1997 року, проте зазнала краху — клон помер через 12 годин після народження.

У новому експерименті вченим вдалося домогтися успіху, але зі 113 початкових ембріонів вижив лише один — простими словами, показник успіху становив менше ніж 1%. За словами експерта Національного центру біотехнології Іспанії, доктора Луїса Монтоліу, який не брав участі в дослідженні, домогтися успіху в подібних експериментах "надзвичайно складно".

За словами вченого, нове дослідження демонструє дві речі: по-перше, приматів справді можна клонувати, по-друге, надзвичайно складно домогтися успіху в подібних експериментах з такою низькою ефективністю. Усе це наштовхує лише на один висновок: клонування людини на цьому етапі неможливе.

Раніше Фокус писав про те, що вчені розповіли, наскільки реально створити копію себе.