Підтримайте нас

МИ В СОЦМЕРЕЖАХ:

Дивні плазмові бульбашки в атмосфері небезпечні для літаків і зв'язку: що відомо (фото)

плазмові бульбашки атмосфера Земля
Дивні плазмові бульбашки в атмосфері небезпечні для літаків і зв'язку | Фото: Live Science

Учені знайшли спосіб виявлення невидимих гігантських плазмових бульбашок, які ховаються у верхніх шарах атмосфери нашої планети. Результати можуть допомогти уникнути потенційних авіакатастроф.

Величезні плазмові бульбашки в іоносфері Землі залишаються фактично невидимими, але вони заважають нормально проходити сигналам GPS і радіосигналам. Ці бульбашки дуже складно відстежувати, але вчені знайшли новий спосіб їх виявляти. Дослідження опубліковано в журналі в журналі Space Weather, пише Live Science.

У Фокус. Технології з'явився свій Telegram-канал. Підписуйтесь, щоб не пропускати найсвіжіші та найзахопливіші новини зі світу науки!

Екваторіальні плазмові бульбашки знаходяться в іоносфері. Це шар атмосфери Землі на висоті понад 50 км над поверхнею, де більша частина газу іонізована або позбавлена електронів сонячним випромінюванням, що перетворює його на море плазми.

Відео дня

Бульбашки являють собою порожнини в іоносфері, схожі на отвори в шматках швейцарського сиру. Вони утворюються незабаром після заходу Сонця, коли нестача сонячного світла спричиняє раптову зупинку іонізації, але вони з'являються тільки поруч із магнітним екватором Землі.

Плазмові бульбашки можуть мати ширину від 10 до 100 км. Оскільки вони невидимі неозброєним оком, їх дуже важко виміряти і точно відстежувати в режимі реального часу. Але важливо знати, де вони перебувають, оскільки вони можуть порушити роботу програмного забезпечення GPS і перешкодити радіосигналам, які відбиваються від іоносфери на великі відстані, що робить їх потенційно небезпечними.

плазмові бульбашки атмосфера Земля
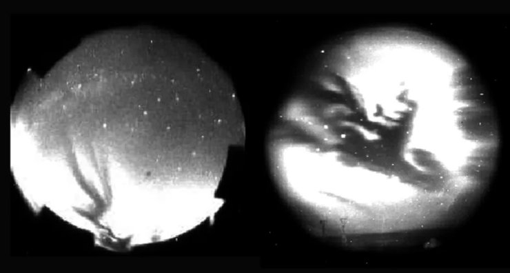
Відомо, що плазмові бульбашки важко виявити. Ці бульбашки дивної форми були сфотографовані за допомогою спеціального обладнання
Фото: Live Science

Вчені розробили новий спосіб виявлення плазмових бульбашок за допомогою спостереження за світінням повітря. Воно схоже на полярне сяйво і з'являється, коли плазма у верхній іоносфері остигає за ніч і рекомбінує в гази, випускаючи енергію у вигляді світла.

Автори дослідження з'ясували, що плазмові бульбашки трохи змінюють зовнішній вигляд світіння повітря, яке утворюється над ними. Потім дослідники навчили програму машинного навчання, використовуючи фотографії світіння повітря для пошуку ознак його зміни. Їхня найкраща модель змогла точно виявляти та вимірювати бульбашки у 88% випадків.

Але основним обмеженням цього методу є те, що він працює тільки за наявності світіння атмосфери, але воно може не відбуватися під час зниження рівня активності Сонця.

Вчені сподіваються, що їхнє дослідження допоможе запобігти кільком проблемам. Одна з потенційних проблем полягає в тому, що плазмові бульбашки можуть заважати нормально проходити сигналам GPS із супутників, що може призвести до помилок у програмному забезпеченні для визначення місця розташування. Минулого року інші вчені з'ясували, що програмне забезпечення GPS на літаках особливо страждає від цих перешкод, що може призводити до невеликого відхилення від курсу. Імовірність зіткнення або аварії внаслідок цього мінімальна, але все ж вона існує. Також плазмові бульбашки можуть порушувати проходження радіосигналів, що тягне за собою відключення зв'язку.

Як уже писав Фокус, під час входу в атмосферу Землі сталася аварія з експериментальним космічним кораблем, який вивів на орбіту капсули з людськими останками. У результаті цей корабель зі своїм вантажем затонув у водах Тихого океану.

Також Фокус писав про те, що земні організми показали, на яких планетах можуть жити інопланетяни. Вчені вивчили лишайники в пустелі в США і з'ясували, що вони мають спеціальний захист від найшкідливішого випромінювання Сонця. Той самий захист можуть мати організми на інших планетах, які розташовані поруч зі смертельно небезпечними зірками.