Підтримайте нас

МИ В СОЦМЕРЕЖАХ:

Коронавірус може викликати сліпоту: виявлене нове ускладнення

мозок, енцефалопатія, кора, сліпота, коронавірус, ускладнення, британські вчені
Сліпота викликана ускладненнями COVID-19. | Фото: sohu.com

Через запалення потиличної частки мозку, пацієнт погано розуміє ступінь свого порушення зору, і може стверджувати, що бачить нормально.

Фахівці Королівської лікарні в Дербі (Великобританія) зафіксували так звану "коркову сліпоту" як одне з ускладнень коронавірусного захворювання, яке проявляється в повній втраті пацієнтом зору.

Історія хвороби була описана в науковому журналі "Cureus". Зокрема, відкриття було зроблено під час обстеження "раніше здорової" 54-річної жінки, інфікованої Covid-19, але водночас вона не страждала від хронічних захворювань. Жінка звернулася зі скаргою на лихоманку, сухий кашель і болі в м'язах, що тривали протягом останніх 10-ти днів, і додала, що вже другий день поспіль у неї погіршується задишка.

"Під час надходження спостерігалися такі показники: температура 38,2°C, пульс 114 ударів на хвилину, артеріальний тиск 125/78, а сатурація становила 82%. Після подальшого клінічного погіршення та тривалого збільшення потреби в кисні було розпочато неінвазивну вентиляцію", — повідомляється в історії хвороби.

Відео дня

Потім жінку підключили до ШВЛ: "На 10-й день після госпіталізації їй було проведено ендотрахеальну інтубацію та штучну вентиляцію легенів". Був діагностований гострий респіраторний дистрес-синдром (ГРДС). "Через п'ять днів поставили діагноз синдрому системної запальної відповіді (SIRS) — у пацієнта була лихоманкай тахікардія без чіткого джерела або клінічного вогнища інфекції", — зазначили британські медики.

Їй призначили антибіотики широкого спектру дії, що мали позитивний ефект. Однак вже на 21-й день лікування медики спостерігали тоніко-клонічний напад (один із видів "епілептичного" нападу з двосторонніми стійкими ритмічними посмикуваннями та втратою свідомості), після якого лікарі провели комп'ютерну томографію головного мозку.

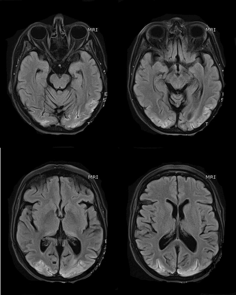
мозок, енцефалопатія, кора, сліпота, коронавірус, ускладнення
МРТ головного мозку: двостороння симетрична гіперінтенсивність кори потиличних часток.

Джерело: Cureus.com

Унаслідок було виявлено запалення в мозку: у пацієнтки виявили синдром задньої оборотної енцефалопатії (PRES). Інші назви: "гіпертензивна енцефалопатія", "синдром оборотного заднього церебрального набряку" і "задня оборотна лейкоенцефалопатія".

І лише через тиждень після проведення КТ з'ясувалося, що у хворої коркова сліпота — захворювання, викликане ураженням потиличної частки головного мозку і супроводжується повною відсутністю зору: "Водночас реакція зіниць на світло була нормальною, а очне дно було без змін".

"Пацієнтка погано розуміла ступінь свого порушення зору, часто стверджуючи, що може бачити (синдром Антона). Вона також описала зорові галюцинації. У пацієнта була помірна рецептивна і більш виражена дисфазія (дисфункція мови внаслідок ураження коркових мовних зон), а також ознаки апраксії кінцівок (безладні рухи), найбільш виражені з правого боку".

Як зазначається в матеріалі, протягом наступних восьми тижнів пацієнтка поступово одужала: "Вона могла розрізняти форми та кольори, але порушення зору, як і раніше залишалися дуже серйозними".

Нагадаємо, нещодавно група лікарів із США виявила несподіваний симптом коронавірусу в немовлят: як з'ясувалося, незважаючи на відсутність кашлю і температури, деякі діти віком до року перехворіли COVID-19 із серйозними ускладненнями.