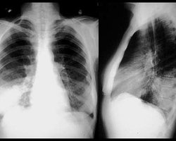
Украина Украинцы умирают не от пневмонии, а от дистресс-синдрома, - черновицкие судмедэксперты 13.11.2009 12:22