Ученые выяснили, как организм борется с коронавирусом
Австралийские исследователи выяснили, какие иммунные клетки появляются, когда организм борется с COVID-19
В Австралии ученые смогли определить, как иммунная система человеческого организма борется с коронавирусом COVID-19. Об этом сообщает ВВС.
Исследование было опубликовано в научно-медицинском журнале Nature Medicine, в нем говорится, что механизм выздоровления людей от нового вируса такой же, как и у гриппа.
По словам экспертов, определение того, какие иммунные клетки появляются после того, как организм справляется с вирусом, помогут в разработке вакцины.
Важно
"Это открытие важно, потому что впервые мы действительно понимаем, как наша иммунная система борется с новым коронавирусом", – говорит соавтор исследования профессор Кэтрин Кедзерская.
Исследования, проведенные Мельбурнским Институтом инфекции и иммунитета Питера Доэрти, получили высокую оценку среди экспертов, один из которых сказал, что это прорыв.
По словам ученых, многие инфицированные коронавирусом выздоровели, поэтому было ясно, что иммунная система может успешно бороться с вирусом. Но новое исследование впервые выявило четыре типа иммунных клеток, которые предназначены для борьбы с COVID-19.
Клетки были обнаружены во время наблюдений за пациентом, у которого болезнь протекала в относительно легкой форме, и у него не было хронических заболеваний. Этим пациентом стала 47-летняя женщина из Уханя, которая была доставлена в больницу в Австралии. Она выздоровела в течение 14 дней.
Кедзерская сообщила, что ее команда изучила "всю широту иммунного ответа" у обследуемого пациента.
Так, за три дня до того, как женщина начала поправляться, в ее крови были обнаружены специфические клетки. По словам профессора Кедзерской, у пациентов с гриппом такие же клетки появляются примерно в то же время до полного выздоровления.
"Мы были очень взволнованы полученными результатами, и тем фактом, что мы действительно смогли зафиксировать появление иммунных клеток у инфицированного пациенты до клинического выздоровления", – рассказывает профессор.
Она отмечает, что более десяти ученых круглосуточно работали над проведением анализа.
По словам профессора и декана медицинских наук в Технологическом университете Суинберна Брюса Томпсона, определение того, когда включаются иммунные клетки поможет "предсказать течение вируса".
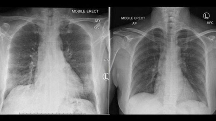
Слева на фото легкие пациента с коронавирусом, а справа показывается то, как они очищаются при выздоровлении. Фото: The Peter Doherty Institute
"Если вы знаете, когда происходят различные реакции, вы можете предсказать, где вы находитесь в процессе восстановления после вируса", – сказал Томпсон.
Министр здравоохранения Австралии Грег Хант уже заявил, что это открытие может также ускорить создание вакцины и потенциального лекарства для инфицированных пациентов.
Кедзерская также добавила, что следующим шагом для исследователей станет определение того, почему в тяжелых случаях иммунный ответ был слабее.
"Сейчас действительно важно понять, чего не хватает или чем отличаются пациенты, которые умерли или те, у кого заболевание проходило очень тяжело. Таким образом, мы поймем, как защитить таких людей", – сказал профессор.
В январе институт стал первым в мире, которому удалось воссоздать в лабораторных условиях коронавирус за пределами Китая. С тех пор, учреждение получило дополнительное финансирование от австралийского правительства, а также пожертвования от бизнеса и китайского миллиардера, владельца Alibaba Джека Ма.
Как ранее сообщал Фокус:
- Ученые обнаружили антитело, которое помогает лечить коронавирус COVID-19. Антитело может блокировать инфекцию SARS1 и SARS2.
- Также в США 45 молодых волонтеров получат экспериментальную вакцину от коронавируса. В исследовательском институте Kaiser Permanente Washington Health Research Institute в Сиэтле начались испытания вакцины против коронавируса, разработанной Национальными институтами здравоохранения США (NIH) и компанией Moderna Inc.