Підтримайте нас

МИ В СОЦМЕРЕЖАХ:

"Це все брехня": влада Ірану заперечує причетність до смерті Махси Аміні (відео)

Махса Аміні
Махса Аміні | Фото: The Insider

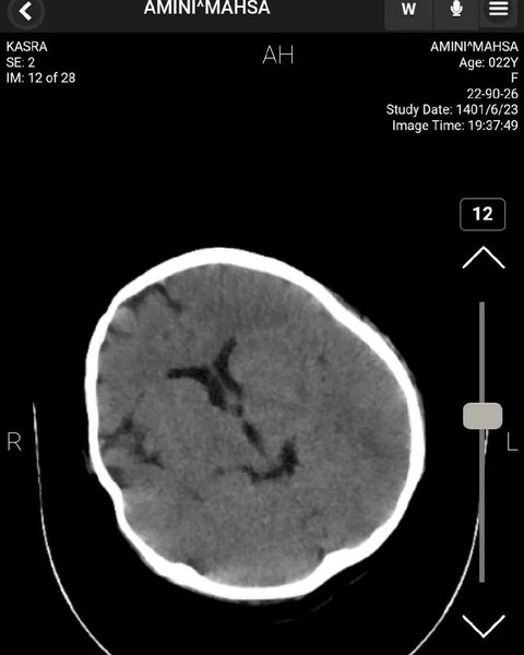
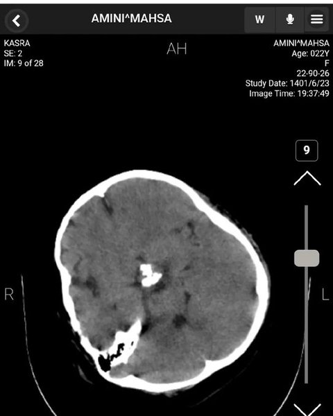
У мережі опубліковано результати томографії головного мозку постраждалої іранки. Нейрохірурги стверджують, що на знімках не видно слідів черепно-мозкової травми та кровотечі.

Начальник поліції Тегерана Сардар Хусейн Рахімі заявив, що смерть 22-річної дівчини Махси Аміні є нещасним випадком, а інформація про цю трагедію, яку розповсюджують ЗМІ, — повна брехня. Про це повідомляє Telegram-канал іранської інформаційної агенції Fars News Agency.

Рахімі заявив, що його підлеглі не допускали недбалості, а всі домисли та чутки є хибними. Водночас він додав, що для того, щоб встановити справжню причину смерті, необхідно дочекатися висновків лікарів.

"Цей інцидент ми вважаємо трагічним, і ми не хотіли б допустити чогось такого надалі", — сказав він на брифінгу.

Пізніше Fars News опублікувало відео з камер спостереження, яке нібито підтверджує слова Рахімі. На записі можна побачити, що якась дівчина (імовірно Махса) спілкується з представниками "поліції моралі" у приміщенні для "виховних заходів", після чого непритомніє. Далі йдуть кадри, де видно, як постраждалу дівчину забирає авто швидкої допомоги.

Відео дня

Весь відеоролик триває близько хвилини і незрозуміло, що відбувалося до і після того, як жінка впала. Також невідомо, скільки часу пройшло між її падінням та прибуттям екстрених служб.

Медики розповіли про причини смерті

У Twitter якогось Мохаммада, який представився нейрохірургом, опубліковано знімки томографії головного мозку Махси з коментарями.

"Мій твіт — це докази, які можна побачити на знімках томографії мозку, я публікую це не для того, щоб звинуватити, або виправдати будь-кого", — написав медик.

За його словами, нерозголошення медичної таємниці є частиною медичної етики, проте оскільки справа набула великого резонансу в суспільстві, Мохаммад має намір оприлюднити інформацію.

Згідно з висновком нейрохірурга, на КТ голови Махси не виявлено жодних ознак травми мозку, черепної коробки та кровотечі. На знімках видно сліди зробленої раніше операції.

мозок, голова, КТ, Махса Аміні
КТ голови Махси Аміні
комп'ютерна томографія, мозок, Аміні
Комп'ютерна томографія мозку Аміні
черепно-мозкова травма, Махса Аміні
Знімки КТ підтверджують, що черепно-мозкової травми у Махси Аміні не було

"Ознаки хірургічного втручання є, вони свідчать про лобово-скроневу краніотомію з короткочасною атрофією м'язів та зміни м'яких тканин", — коментує хірург.

Так, за даними нейрохірурга, смерть Махси не могла статися від травм головного мозку.

Відомо також, що президент Ірану Ібрагім Раїсі зв'язався із сім'єю Аміні та висловив свої співчуття.

Протести тривають

Тим часом в Ірані тривають акції протесту у зв'язку зі смертю іранської дівчини. Попри небезпеку арештів, тюремного ув'язнення і навіть страти, протестувальники вигукують антиурядові гасла, спрямовані на адресу духовного лідера країни Алі Хаменеї.

Під час протестів іранські дівчата зривали з себе хіджаби, демонстративно розмахували ними в повітрі, а деякі їх публічно підпалювали. У відповідь на заворушення поліція застосувала сльозогінний газ і водомети, в деяких випадках у хід пішли кийки, також чути звуки пострілів.

протести у Тегерані
Протести у Тегерані
протести у тегерані
Смерть Махси Амені викликала хвилю протестів в Ірані
Фото: AFP

Нагадаємо, що в Ірані поліцейські викрали 22-річну Махсу Аміні, яка приїхала з Курдистану на гостину до родичів. Стверджувалося, що дівчину побили у ділянці за недотримання суворих правил щодо носіння мусульманських хусток.

Після інциденту в Ірані почалися масові заворушення через смерть дівчини, затриманої за неправильне носіння хіджабу. По всій країні відбуваються сутички між правоохоронцями та мітингувальниками.