Підтримайте нас

МИ В СОЦМЕРЕЖАХ:

У горлі чоловіка почало рости волосся: лікарі кажуть, що це наслідок куріння (фото)

Волосся росте в горлі затятого курця, дивні діагнози, захворювання внаслідок куріння, розлади, курйози, фото, Австрія
У чоловіка виросло волосся в горлі | Фото: Xataka

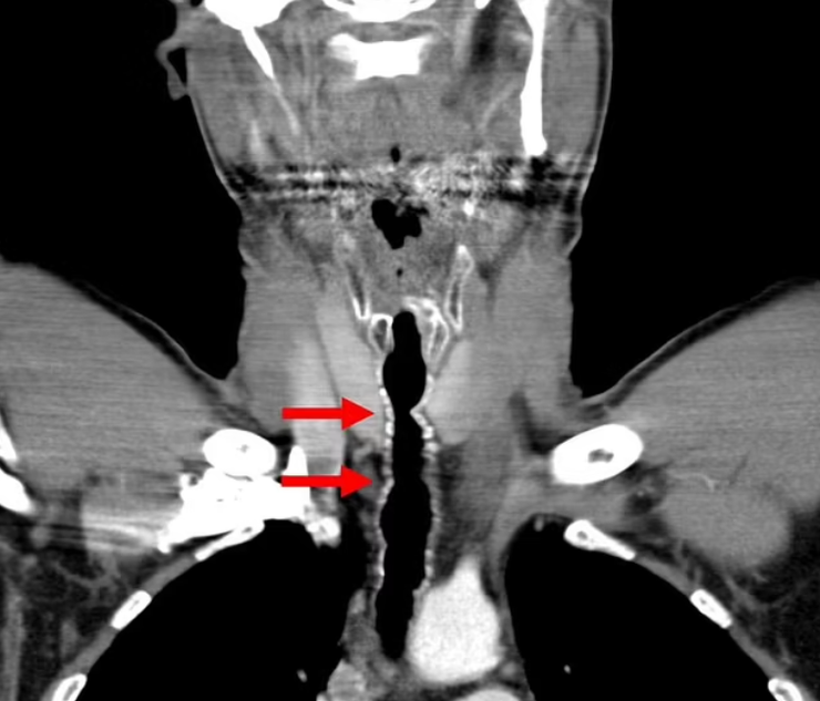
Пацієнт звернувся до лікарів зі скаргами на хрипкий голос, утруднене дихання та хронічний кашель.

52-річний чоловік з Австрії, який протягом 30 років викурював по пачці сигарет на день, зіткнувся із рідкісним ускладненням — у нього в горлі почало рости волосся. Про це пише видання Daily Mail.

Пацієнт звернувся до лікарів зі скаргами на хрипкий голос, утруднене дихання та хронічний кашель. Його відразу відправили на спеціальну процедуру, аби провести маленьку камеру по дихальних шляхах. Таким чином вдалось виявили кілька волосків, що росли з тієї ділянки горла, де чоловікові колись робили операцію (пересаджували шкіру з вуха).

Волосся росте в горлі затятого курця, дивні діагнози, захворювання внаслідок куріння, розлади, курйози, фото, Австрія
У чоловіка виросло волосся в горлі
Фото: Daily Mail

Волосся видалили, але воно й надалі продовжувало відростати, тож австрієць щоразу повторно звертався по допомогу впродовж багатьох років. Розлад вдалось вилікувати лише після того, як він кинув курити й наважився на ендоскопічну аргоноплазмову коагуляцію — спалення кореня, з якого росте волосся.

Відео дня

За словами експертів, в медичній літературі описано лише кілька подібних випадків. Причини захворювання досі не вивчені, однак лікарі стверджують, що в цьому випадку ріст був спровокований саме курінням, що може викликати запалення тканин у горлі й призводити до перетворення стовбурових клітин на волосяні фолікули.

"Ми припускаємо, що ріст волосся у горлі був спровокований саме шкідливою звичкою", — резюмували автори статті у науковому журналі American Journal of Case Reports.

Волосся росте в горлі затятого курця, дивні діагнози, захворювання внаслідок куріння, розлади, курйози, фото, Австрія
Лікарі виявили кілька волосків, що росли з тієї ділянки горла, де чоловікові колись робили операцію
Фото: Daily Mail

Нагадаємо, раніше Фокус писав, що 6-річна дівчинка Харлоу Гарднер з містечка Портсмут (графство Гемпшир, Велика Британія) бореться із генетичним захворюванням, яке вважається єдиним у своєму роді — лікарі не знають жодного випадку у світі, коли у пацієнта підтвердився б аналогічний діагноз.

А от 25-річна матір-одиначка Стейсі А'Хірн з Блеквуда, що у Великій Британії, змушена фактично цілодобово стежити за своєю 3-річною донькою Вінтер, яка страждає від рідкісного розладу, через що намагається з’їсти неїстівні речі.

Цей матеріал має виключно інформаційний характер і не містить порад, які можуть вплинути на ваше здоров'я. Якщо ви відчуваєте проблеми, зверніться до фахівця.