Разделы
Материалы

"Риск тромбоза": Канада приостановила вакцинацию AstraZeneca для людей младше 55 лет

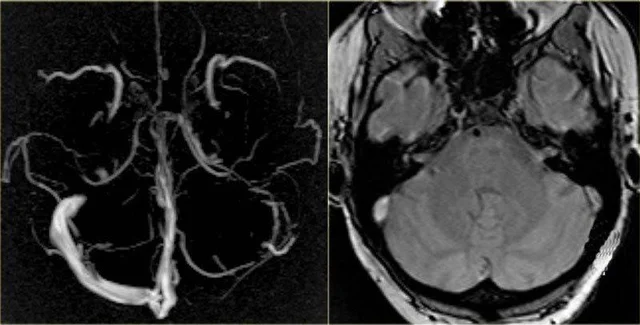
Тромб в мозгу на МРТ | Фото: "Магнит"

Согласно обновленным данным, риск образования тромбов после получения укола этого препарата оказался значительно выше, чем предполагалось ранее.

В Канаде приостанавливают использование вакцины от COVID-19 производства Oxford-AstraZeneca для людей младше 55 лет. Поводом для этого стали опасения возникновения у получивших уколы тромбов, сообщает Associated Press.

Такая рекомендация поступила от Национального консультативного комитета Канады по иммунизации (NACI). Уже в понедельник в провинциях страны процесс вакцинации этим препаратом был приостановлен.

"Существует значительная неопределенность в отношении пользы от вакцинирования AstraZeneca взрослых людей в возрасте до 55 лет с учетом потенциальных рисков", — цитирует издание Шелли Дикс, заместителя председателя Национального консультативного комитета по иммунизации.

По ее словам, они сформировали новые рекомендации из-за свежих данных из Европы, согласно которым риск образования тромбов возникает у 1 человека из 100 тыс., что значительно выше, чем предполагали ранее.

Диск рассказала, что большинством из тех, у кого после получения вакцины AstraZeneca возник тромб, являются женщины в возрасте до 55 лет, а уровень смертности среди них достигал 40%.

Доктор Джосс Реймер, работающий в Рабочей группе по внедрению вакцин в провинции Манитоба, отметил, что хоть в Европе и не было зафиксировано повышения риска образования тромбов после вакцинации AstraZeneca в целом, однако редкий и серьезный побочный эффект наблюдали в основном у молодых женщин в Европе.

По его словам, зловредный сгусток крови может возникнуть спустя 4-20 дней после получения вакцины, а симптомы могут быть похожими на сердечный приступ или инсульт.

"Хотя мы по-прежнему считаем, что польза для всех возрастов перевешивает риски, я, пожалуй, не доволен. Я хочу, чтобы из Европы поступало больше данных, поэтому я точно знаю, что такое анализ рисков и выгод", — отметил Реймер.

В Минздраве Канады заявили, что они не получили ни одного сообщения об образовании тромбов у привитых AstraZeneca жителей страны, а главный медсоветник ведомства, доктор Суприя Шарма, заявила, что, с ее точки зрения, преимущества препарата до все еще превышают риски.

Отмечается, что правительство Канады, не имея возможности производить вакцины от COVID-19 самостоятельно, предварительно договорилось о поставках 7 различных вакцин, общее количество которых будет достаточным для предоставления 10 доз прививок каждому из 38 млн жителей страны.

На прошлой неделе Минздрав Канады изменил этикетку препарата, разместив на новой информацию о потенциальных рисках образования тромбов.

Напомним, недавно ряд стран Европы приостановил вакцинацию препаратом AstraZeneca после того, как у некоторых получивших прививки образовались тромбы. Европейские контролирующие органы провели расследование и пришли к выводам, что польза превышает риски, и посоветовали продолжить вакцинацию, учитывая возможный тромбоз. После этого страны ЕС начали возобновлять иммунизацию этим препаратом.

Напомним, ученые из Германии и Норвегии сообщили, что раскрыли причину образования смертельных тромбов после вакцинации препаратом AstraZeneca. Две группы независимо друг от друга выяснили, что этот препарат способен провоцировать аутоиммунную реакцию организма, которая заставляет кровь сворачиваться в мозге. По мнению медиков, это открытие объясняет некоторые случаи смерти людей в Европе.

2 марта в США успешно завершились испытания вакцины от коронавируса AstraZeneca. Исследования безопасности вакцины проводились на 32 тысячах добровольцев, проживающих в США, Чили и Перу. Вакцина показала эффективность на уровне 79% в борьбе с симптомами, а также 100% в предотвращении тяжелого течения болезни. Среди получивших вакцину не было обнаружено случаев образования тромбом или каких-либо других побочных эффектов.