Підтримайте нас

МИ В СОЦМЕРЕЖАХ:

Лікарі були шоковані тим, що знайшли у сечовому міхурі чоловіка під час обстеження (фото)

лікарня, операція
За результатами обстеження чоловіку негайно провели операцію | Фото: Unsplash

40-річний мешканець Туреччини звернувся до лікарів щодо проблем із катетером і сечовипусканням, після чого його відправили на обстеження. Саме тоді медики виявили шокуючу знахідку в сечовому міхурі чоловіка.

Про це повідомляє британське видання Need to Know.

Журналісти пишуть, що в Туреччині до лікарів звернувся 40-річний чоловік, який звернувся через проблеми з катетером. Він пояснив, що в дитинстві зробили операцію зі збільшення сечового міхура та катетеризаційну стому.

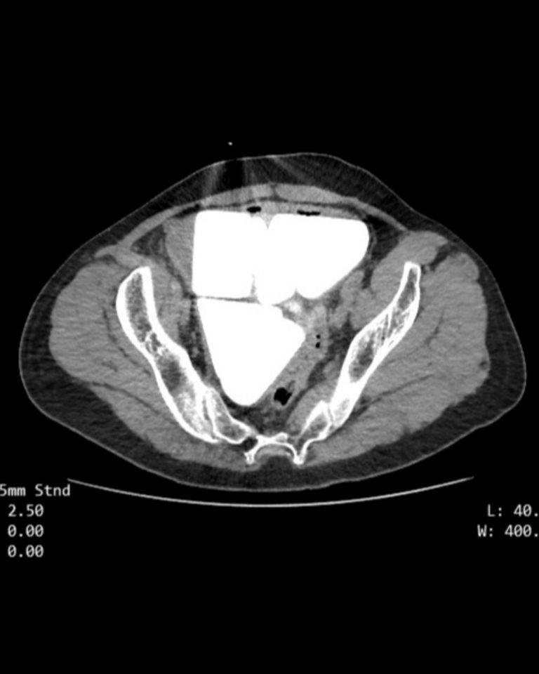
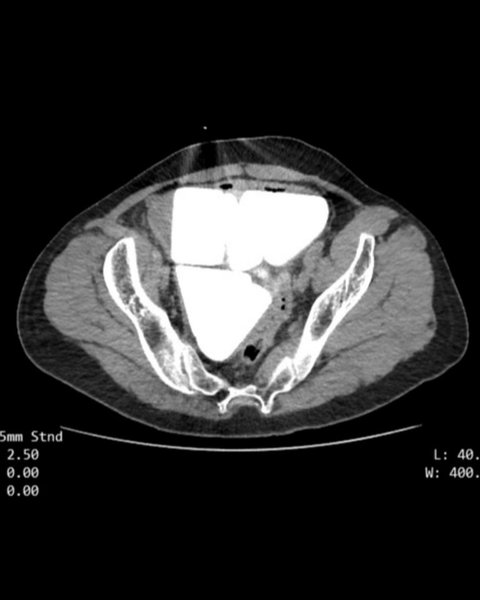
Чоловіка відправили на діагностику, аби перевірити причину його скарг. Попри те, що він не мав симптомів болю, лихоманки чи інфекції, медики провели ультразвукове дослідження (УЗД) і побачене на знімках шокувало спеціалістів.

Обстеження показало дивні утворення
Обстеження показало дивні утворення у сечовому міхурі чоловіка (фото: needtoknow.co.uk)

Виявилося, що в сечовому міхурі чоловіка були розташовані гігантські камені у рівних геометричних пропорціях. З шести конкрементів один мав форму куба, а п'ять — у формі рівносторонньої піраміди.

Відео дня

Чоловіка негайно поклали в лікарню, а згодом провели успішну операцію. Під час втручання хірурги виявили, що довжина сторони кубічного каменю має довжину у 7 см з усіх сторін, а ребра піраміди були завдовжки 6 см, а загальна маса каміння склала понад 2 кг.

Пірамідовидні утворення
Пірамідовидні утворення мали грані розміром у 6 см (фото: needtoknow.co.uk)
Пірамідовидні утворення
Кубоподібне утворення мало довжину сторони в 7 см (фото: needtoknow.co.uk)

Журналісти пишуть, що згодом про цей випадок у Туреччині писали профільні медичні журнали, в яких було показано виявлене каміння у сечовому міхурі чоловіка. Після оперативного втручання чоловік пробував у медичному закладі 10 днів, повторний огляд не виявив утворення нового каміння в сечовому міхурі.

Раніше повідомлялося, що найдивніше лікарі знаходили всередині людей. Хоча вилучення чужорідних предметів із тіл людей уже є нормою для безлічі хірургів, деякі з витягнутих предметів змогли б здивувати навіть лікарів, які багато чого бачили.

Згодом стало відомо, що лікарі витягли камінь розміром з апельсин із піхви жінки. Навіть досвідчені лікарі спочатку сприйняли його за камінь, що утворився в сечовому міхурі, але насправді камінь був у жінки в піхві, що є рідкісним медичним випадком.